患者,男,57岁,胰腺恶性肿瘤
发布来源:兰州重离子院区 放疗一科供稿
发布时间:2025-02-19 09:18:01
字体:
1、患者,男,57岁,胰腺恶性肿瘤。
2、患者于2021-04-27体检发现肿瘤标志物CA199大于1000,遂于5月7日就诊于甘肃省人民医院,行全腹核磁提示:胰腺体部占位(约6.2cm×3.5cm大小),考虑为胰腺癌;查肿瘤标志物提示:CA199大于1200;PET-CT检查提示:胰腺体部等低密度结节,代谢增高,倾向胰腺癌。患者于2021年5月就诊于我科,腹部MR提示:胰颈部占位,局部与脾动、静脉界限欠清。行超声胃镜下胰腺病灶穿刺取检,病理检查提示:中分化导管腺癌。
3、诊断:胰腺恶性肿瘤(胰体部 中分化导管腺癌 cT4N1M0 III期 KPS评分:80)
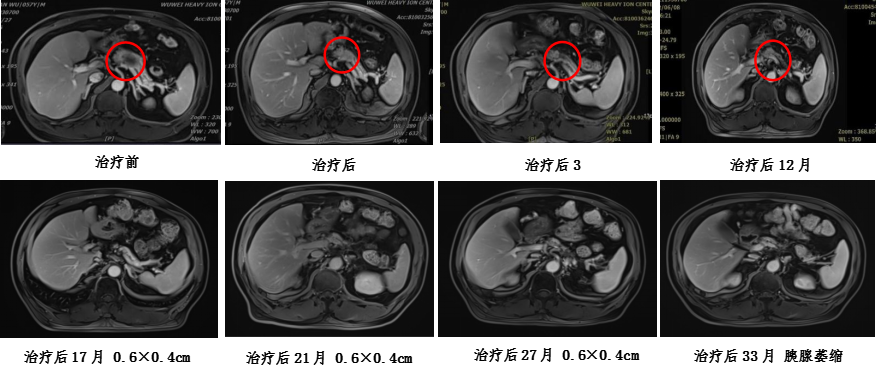
4、治疗方案:胰腺癌碳离子放疗,仰卧位三野轮照总剂量:41.4GyE,4.6GyE/fx;俯卧位PTVboost予以局部推量18.4GyE/4fx,4.6GyE/fx,总处方剂量:PTV 59.8GyE/13fx。治疗期间联合尼妥珠单抗注射液 400mg ivgtt d1周方案+吉西他滨 2.0g ivgtt d1、d8化疗。 治疗过程顺利,未出现明显不良反应,治疗后复查腹部MR提示:胰腺病灶缩小,疗效评价为PR。
5、碳离子治疗计划剂量云图及疗效评估:

