患者胡xx,女、56岁,宫颈恶性肿瘤化疗后3周
1.病情摘要
患者胡xx,女、56岁,因“宫颈恶性肿瘤化疗后3周”为主诉入院
2.影像检查
腹盆腔MRI:1.宫颈部异常强化软组织信号,符合宫颈癌表现(I期),盆腔内小淋巴结,请结合临床。 2.左下腹部囊性灶,来源待定,请结合临床,建议复查。 3.肝脏多发囊肿,脂肪肝。 4.左肾错构瘤,双肾多发囊肿。 5.盆底少量积液。
3.病理诊断
阴道镜病理诊断:(阴道壁3点、5点)乳头状鳞状细胞癌,(阴道顶端赘生物)乳头鳞状细胞癌。
4.临床诊断
宫颈恶性肿瘤 鳞状细胞癌 FIGO分期:IIA1期
5.治疗方案
行IMRT放射治疗:PTV:46Gy/23fx,后行腔内后装放疗:总剂量 1500cGy/3Fx;同步TP方案化疗(白蛋白紫杉醇 400mg ivgtt d1,顺铂30mg ivgtt d1-4)
6.治疗效果

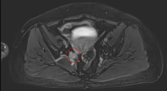
治疗前

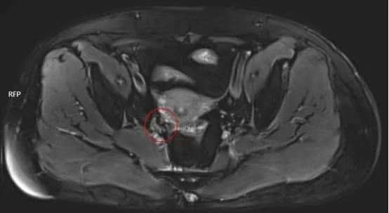
经放疗后,宫颈病灶较前部分缩小,宫旁淋巴结消失
宫颈癌是女性常见恶性肿瘤,放射治疗是其重要手段,包括外照射光子放疗和后装放疗。
外照射光子放疗适用于各期宫颈癌,早期可作术后辅助治疗清除残癌,降低复发风险;中晚期常与化疗同步,提高疗效。技术从二维放疗发展到三维适形、调强、图像引导等精确放疗,可减少正常组织受量,降低并发症。
后装放疗常在外照射后补充高剂量,提高局部控制率。新技术如三维影像引导后装治疗+组织间插植治疗可提高靶区覆盖和剂量分布准确性。
两者联合,外照射清除可能转移淋巴结,降低远处转移风险;后装放疗侧重宫颈局部病灶高剂量照射。
外照射一般盆腔总剂量4500-5040cGy,分次给予。后装放疗建议根治性放疗HR-CTV剂量达80Gy以上。根据患者情况制定个性化治疗计划,提高患者局部控制率和生存率。