患者, 女,61岁,诊断:宫颈恶性肿瘤、鳞状细胞癌
1. 患者, 女,61岁,诊断:宫颈恶性肿瘤、鳞状细胞癌、FIGO分期:IIIC期
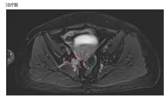
2.病史:患者于2024年8月1日无明显诱因出现阴道不规则流血,褐色分泌物增多,于2024.8.25就诊酒泉市人民医院,行盆腔MRI平扫提示:宫颈肿块(41mm*30mm*35mm),子宫内膜异常增厚,多考虑肿瘤性病变并侵及周缘组织可能,建议增强检查。阴道镜检查提示:宫颈呈火山口改变,组织糟脆,触及易出血。病理提示(181340):(宫颈组织)高级别上皮内病变(HSIL/CINIII级/原位癌),送检组织未见明确间质,不能除外更高级别病变,待手术标本进一步明确浸润深度。胸部CT提示:双肺多发实性小结节,建议年度复查,双肺下叶背侧少许炎性病变,右肺上叶钙化灶。建议患者住院治疗,患者及家属为进一步治疗,于2024.9.4就诊兰州市妇幼保健院,妇科超声提示:宫颈后壁占位,多考虑Ca,右侧附件区占位(0-RADS V),请结合临床。阴道镜检查所见(宫颈):未见典型宫颈形态,阴道顶端狭窄无弹性,可见一半圆形突出组织涂醋酸后;厚醋白上皮触及出血,(阴道):阴道上1/3段狭窄,挛缩白上皮粗大点状血管,上皮剥脱,出血,(外阴):发育良好,未见异常,阴道镜拟诊结果:阴道可能浸润癌,宫颈可能浸润癌?处理:阴道壁及阴道顶端组织活检。病理诊断(1579868):(阴道壁3点、5点)乳头状鳞状细胞癌,(阴道顶端赘生物)乳头鳞状细胞癌。完善相关检查后FIGO分期:IIB期,根据宫颈癌治疗指南(CSCO 2024):盆腔EBRT+近距离放疗+同步含铂类化疗(I类),遂外院分别于2024-9-6、2024-9-29日给予PC(紫杉醇240mg ivgtt d1,卡铂600mg ivgtt d1)方案化疗。遂就诊我院门诊,门诊以“宫颈恶性肿瘤”收住入院。患者自发病以来,精神良好,饮食一般,睡眠良好,大小便正常,体重无明显变化。
3.治疗方案:
IMRT放射治疗:PTVn:57.5Gy/25Fx,PTV:57.5Gy/25Fx
腔内后装放射治疗+组织间插植治疗:2500cGy/5fx
同步顺铂每周化疗
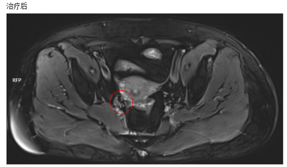
4. 治疗效果:


经IMRT放射放疗后,宫颈病灶较前部分缩小,宫旁淋巴结消失。