宫颈低分化鳞癌治疗案例
发布来源:武威重离子中心 放疗四科供稿
发布时间:2025-02-11 20:38:42
字体:
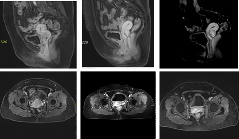
患者,女,74岁,盆腔核磁提示:宫颈占位性病变并异常强化,局部突向后穹隆,阴道上1/3受侵,病变大小3.8x3.1x4.4cm,病理提示:宫颈低分化鳞癌,右侧髂外淋巴结肿大约1.8 x 1.6cm,考虑转移,FIGO分期IIIC1r。HPV 16 (+)、SCC 50.2ng/ml.

注:图A、B为放疗前MR,3.8x3.1x4.4cm,SCC 50.2ng/ml;图C、D外照射治疗后、近距离治疗前病变2.2x2.0x1.8cm较前明显缩小,SCC 2.9ng/ml;图E、F为放疗后MR,放疗结束后:宫颈处信号欠均匀,强化减低,SCC 2.0ng/ml。