“隔离胶”神助攻,巨大腔静脉癌栓实现根治性重离子放疗
“隔离胶”神助攻,巨大腔静脉癌栓实现根治性重离子放疗
近日,甘肃省武威肿瘤医院兰州院区放疗三科成功为一位肾癌伴巨大腔静脉癌栓患者实施了腹腔镜下十二指肠与下腔静脉间“隔离胶植入术”,将十二指肠照射剂量降低到极低水平,既使下腔静脉瘤栓接受了根治剂量碳离子放疗,又避免了严重的放疗副反应,充分体现了多学科协作,多种先进治疗技术融合的杂交优势,将临床上的不可能变为现实,造福于广大晚期恶性肿瘤患者。
01 凶险病情:肾癌+巨大下腔静脉瘤栓(长入心脏)
36岁的谢先生因肉眼血尿就诊,确诊左肾细胞癌伴下腔静脉癌栓。确诊时发现肿瘤体积大,且癌栓沿下腔静脉向上直达右心房,不具备直接手术条件,马潞林教授遂给予术前靶免联合新辅助治疗(替雷利珠单抗+阿昔替尼)6周期,评效达PR。复查核磁仍可疑癌栓侵犯腔静脉壁及肝静脉汇入腔静脉处,目前外科方法尚无法解决肿瘤侵犯该解剖部位(肝静脉汇入腔静脉)这一世界性难题。在与病人沟通后,拟行“机器人辅助腹腔镜左肾根治性切除+肾静脉癌栓切除术+腔静脉癌栓取出术,术中发现癌栓侵犯腔静脉壁至肝静脉,遂决定部分肾静脉及腔静脉癌栓残留。残留癌栓后续行根治性重离子放疗。

图1 术前MR提示左肾巨大占位

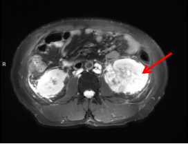
图2 癌栓(图中红色剪头所指蓝色框内区域)
02 放疗“生死难题”:靶区紧贴十二指肠
谢先生的术后放疗靶区范围需包括:左肾静脉残端→下腔静脉→右心房底部。患者完成定位后,张颖东主任勾画靶区时发现部分十二指肠紧贴瘤栓,放疗靶区无法避开,碳离子治疗大概率会导致肠道溃疡穿孔、出血,其后果严重到危及患者生命。直接碳离子放疗无法兼顾“杀肿瘤”与“保肠道”。

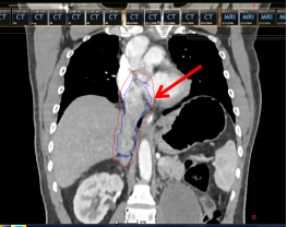
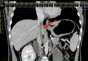
图3 未植入隔离胶定位CT(红色箭头为下腔静脉靶区,蓝色箭头为十二指肠)
03 硬核保护:十二指肠与下腔静脉间植入隔离胶
面对这一放疗难题,张颖东主任发起疑难病例多学科会诊(MDT),北京大学第三医院放疗科主任兼兰州重离子中心院长王俊杰教授提出:参照前列腺癌碳离子根治性放疗时,隔离胶植入保护直肠的方法,在下腔静脉与十二指肠之间植入隔离胶,保护十二指肠。北京大学第三医院泌尿外科马潞林教授认为:虽然目前国际上及国内均没有类似病例及文章报道,但技术上是可以实现的。面对年仅37岁的恶性肿瘤患者,有得到根治性治疗的可能性时,我们要有敢闯禁区的勇气。
✅ 隔离胶三大作用
1.物理分隔:把肠道“推开”,远离高剂量区
2.位置固定:减少呼吸、蠕动带来的位移误差
3.安全护航:大幅降低放射性消化道损伤
简单说:给肠道穿上“防护甲”,让放疗敢照、能照、照得安全。

图4 马潞林教授与张颖东主任讨论该患者重离子放疗计划

图5 马潞林教授行“腹腔镜下隔离胶植入术”示意图
确定治疗方案后,马潞林教授教授不顾长途奔波,立即与武威肿瘤医院泌尿外科杨云大夫在兰州重离子中心开始“腹腔镜下隔离胶植入”术前准备,当天晚上8点开始手术,马潞林教授借助腹腔镜,取右下腹腹膜后入路,在右肾及下腔静脉腹侧与十二脂肠背侧间分离筋膜,在分离空间注入隔离胶,术毕,患者安返病房。
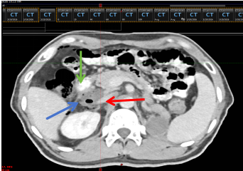
隔离胶植入术后患者再次行碳离子治疗前定位,发现十二指肠与下腔静脉分隔开大约3cm。远超过碳离子放疗靶区离开重要器官8mm的安全距离。

图6 隔离胶植入后定位CT
(红色箭头为下腔静脉,绿色箭头为十二指肠,蓝色箭头为隔离胶)
患者术后恢复良好,术后一周开始行一程碳离子治疗,剂量36Gy(RBE)/4Gy(RBE)/9Fx,一程碳离子放疗结束复查CT提示:癌栓明显缩退,上界已离开右心房,缩小到肝静脉汇集平面。目前已开始二程俯卧位碳离子放疗,碳离子治疗期间患者没有出现消化道放疗反应,一程+二程碳离子放疗总量达到72Gy(RBE),完成肾癌切除术后残留腔静脉癌栓碳离子根治性放疗。此次碳离子治疗前的隔离胶植入,充分体现了我院碳离子治疗的严谨性和精准性,始终将患者的获益放在第一位。

图7 一程治疗后癌栓缩退(图中红色箭头所指黄色框内区域)
核心专家

张颖东
主任医师,甘肃省武威肿瘤医院兰州院区放疗三科主任,原北京大学国际医院放疗科行政负责人,北京大学第三临床医院肿瘤放疗专业研究生。白求恩公益基金会放射治疗专业委员会委员;中国医师协会放射肿瘤治疗医师分会中枢神经肿瘤放疗学组委员;北京抗癌协会肿瘤放疗专业委员会委员;北京癌症防治学会头颈肿瘤MDT专业委员会委员。从事肿瘤放射治疗工作30余年。擅长中枢神经系统、头颈部、胸部、腹部、盆腔及四肢恶性肿瘤的放射治疗,对放射治疗期间配合化疗、靶向、免疫等综合治疗有深入研究。

王俊杰教授
博士生导师,主任医师,甘肃省武威肿瘤医院兰州院区院长,中华医学会全国放疗委员会第十届主任委员,北京大学第三医院放疗科主任。
中国抗癌协会肿瘤微创治疗委员会常委、粒子治疗学组组长、中国抗癌协会介入治疗专业委员会委员、中国老年学会老年肿瘤学专业委员会常委、北京放射肿瘤学会副主任委员、北京抗癌协会理事、北京市医师协会放射肿瘤学专家委员会委员、甘肃省武威肿瘤医院兰州重离子中心院长。
擅长肿瘤放疗,化疗,靶向治疗,免疫治疗。尤其是肺小结节穿刺,三维立体定向放疗(射波刀),放射性粒子植入治疗,头颈部肿瘤、肺癌、肝癌、胰腺癌、前列腺癌、软组织肿瘤等综合治疗。

马潞林教授
北京大学第三医院泌尿外科前主任,主任医师、博士生导师、博士后合作导师、北京大学二级教授、北京大学第三医院海淀院区副院长。84年开始从事泌尿外科工作,是国内知名泌尿外科专家。
擅长肾移植、亲属肾移植和胰肾联合移植。擅长开放手术、腹腔镜辅助和机器人辅助的泌尿外科巨大肾上腺肿瘤切除、肾癌合并腔静脉癌栓、前列腺癌根治、膀胱全切原位膀胱、回肠通道及输尿管皮肤造瘘等疑难手术,同时在肾移植和保留NVB的前列腺癌根治术、保留NVB的膀胱全切+淋巴结清扫+Studer原位膀胱术、根治性肾癌切除术、肾部分切除术、巨大肾上腺肿瘤切除术等腹腔镜手术中造诣颇深。