守护生命中枢:大脑中动脉瘤破裂后的精准介入
守护生命中枢:大脑中动脉瘤破裂后的精准介入
在急诊神经疾病中,时间常以秒计算——大脑动脉瘤破裂后,每一分钟的延误都可能意味着不可逆的神经功能损伤。近期,我院神经医学中心介入团队再次完成一例动脉瘤破裂的急诊介入治疗。从病情识别到导管室手术,流程顺畅,神经医学中心在急诊脑血管病微创介入治疗中的技术实力与多学科协作能力进一步得到提升。
病例回顾
患者,男性,61岁。
主诉:突发意识不清30分钟。
患者活动中突发意识丧失,伴双上肢痉挛性屈曲姿势,30分钟后自行苏醒,急诊入院时神志已转清,查体无明显神经功能缺损。
这一“看似好转”的临床表现,却可能是危险的信号——沉默性蛛网膜下腔出血。
影像揭秘
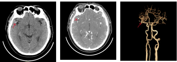
头颅CT及CTA:

右侧大脑中动脉M2段起始部稍高密度结节
头颅MRI:

右侧大脑中动脉M2起始部异常信号结节,考虑动脉瘤
术程纪实
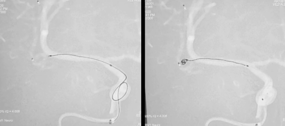
1. 术前评估,基线造影

DSA三维重建示:大脑中M2分叉部可见一动脉瘤,瘤体不规则
2. 方案确定,策略规划

大脑中动脉M2段,被称为脑血管的“交通要道”,是分叉后重要穿支供血区。传统开颅夹闭创伤大、暴露困难,牵拉脑组织后认知功能障碍风险增加。此外,M2段动脉瘤多为宽颈或分叉部动脉瘤,单纯栓塞易复发。故经综合评估瘤体位置,瘤颈宽度等,确定手术方案“Atlas支架植入术+动脉瘤弹簧圈栓塞术”。
3. 通路搭建,导管到位

微导丝超选、支架导管到位
4. 致密填塞,稳定成篮

栓塞导管到位、弹簧圈逐步填塞
5. 支架释放,精准贴壁

支架释放
6. 警报解除,回归日常

术后DSA示:动脉瘤完全栓塞,瘤腔内未见造影剂充盈,载瘤动脉通畅

临床启示
1.“清醒”的假象:动脉瘤破裂后一过性意识障碍自行缓解,极易被误认为“虚惊一场”,实则可能已发生蛛网膜下腔出血,立即就医。
2.头痛不是小事:突发“最剧烈的头痛”,即使很快缓解,也必须立即就医。
3.控制血压就是拆弹:70%的脑动脉瘤破裂与高血压相关,规律服药、控制血压比任何保健品都管用。
动脉瘤介入治疗的终点不是手术下台,而是患者长期良好的神经功能预后。我们坚持术后规范的抗血小板管理及影像学随访,并持续跟进学习对于M2段等复杂部位动脉瘤,如何在致密栓塞与穿支保护间取得平衡、个体化考量。老王的“新牌局”还在继续,神经医学中心对脑血管健康的守护也从未停歇。
神经医学中心简介
甘肃省武威肿瘤医院神经医学中心是集临床医疗、教学、科研及人才培养为一体的学科,业务涵盖神经内科、神经外科、神经介入、神经重症、神经康复等多个学科领域,患者可以在中心完成从疾病诊断、治疗、康复、预防、心理关怀、健康教育到长期随访等“一站式”全程诊疗服务。科室人员配置合理、技术力量雄厚,医疗经验丰富,现有兰州大学第一附属医院神经外科常驻专家1名,副主任医师2名、主治医师3名、住院医师3名,其中硕士研究生4人,护理人员11名。
【神经医学中心诊疗范围】
1.神经内科专业:脑梗死、脑出血等脑血管病、周围神经疾病、脊髓病变、中枢神经系统脱髓鞘病变、运动障碍病变(如帕金森病)、神经肌肉接头疾病(重症肌无力等)以及头痛、眩晕、癫痫、睡眠障碍等疾病的诊治。
2.神经外科专业:脑肿瘤、脑出血、脑血管畸形、脑动脉瘤、脑外伤等常见疾病的外科诊疗救治;包括颅脑肿瘤的显微外科手术、经鼻蝶垂体瘤手术、重型颅脑损伤手术、三叉神经、面肌痉挛微血管减压术、先天性颅脑畸形的手术、颅内肿瘤神经导航下穿刺活检、颈动脉内膜剥脱术、帕金森病脑深部电刺激术(DBS)、癫痫立体定向脑电图(SEEG)技术、脑积水脑室腹腔分流术等;
3.神经介入专业:脑卒中动、静脉溶栓;脑血管造影(经桡、经股入路)、脊髓血管造影;颅内动脉取栓术;颅内动脉狭窄血管成形、支架置入术;颈动脉支架植入手术;椎动脉支架植入手术;脑动脉瘤介入栓塞术等。
我中心长期与北京天坛医院、复旦大学附属华山医院、四川大学华西医院、兰大一院、兰大二院等国内知名专科院所长期协作,组建医联体联盟;并长期聘请省内外知名专家来院查房、手术指导,以便更好的服务于广大患者。
就诊地址:
甘肃省武威肿瘤医院中心院区门诊508室
甘肃省武威肿瘤医院中心院区住院部十楼
