精准穿刺破迷雾 专家坐镇护安康——我院成功开展高风险肺穿刺活检术
精准穿刺破迷雾 专家坐镇护安康——我院成功开展高风险肺穿刺活检术
近日,我院微创介入科团队成功为一位骨盆软骨肉瘤术后疑似双肺转移的复杂病例,实施了高难度的CT引导下经皮穿刺活检术。手术特邀北京大学第三医院放疗科郭福新教授,术后患者安返病房,无并发症发生。


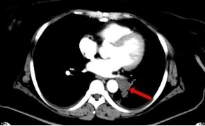
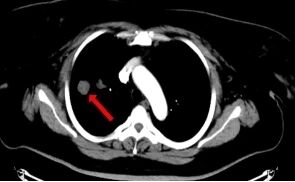
左肺下叶肿瘤 右肺下叶结节
病情复杂:转移灶毗邻“生命线”
患者许某,女性,41岁,因“骨盆软骨肉瘤术后2年,发现双肺多发结节”就诊。影像学检查提示,其双肺及胸膜下存在多发结节及肿块,尤其是左肺下叶一处病灶,位置特殊,紧邻上腔静脉及左心室等重要大血管结构。明确这些病灶的性质是决定后续治疗方案(包括是否适合重离子放疗等先进治疗)的关键,但常规穿刺路径风险极高,稍有不慎即可能引发出血等严重并发症。
专家领衔:顶尖技术化解高风险
面对这一挑战,我院迅速启动多学科会诊(MDT),并依托常态化运行的“全国首席专家每日坐诊”平台,邀请国内胸部肿瘤介入治疗领域的权威专家——北京大学第三医院放疗科郭福新教授前来指导并主操作。


精准操作:毫米级间完成“生命取样”
2026年1月24日,在充分的术前准备和讨论后,手术正式开始。患者取俯卧位,采用负压垫进行体位固定,确保术中体位稳定。首先行增强CT扫描,精确勾画出靶病灶与周围血管的立体关系,规划出最优穿刺路径,避开重要结构,并在体表做好精准标识。在局部麻醉下,郭福新教授凭借娴熟的手法,在CT实时引导下,将活检针精准、平稳地经皮穿刺至预定靶点。术中多次扫描确认针尖位置无误,成功获取了高质量的组织标本。整个操作过程流畅,术中及术后即刻复查未见气胸、出血等并发症,实现了对高风险病灶的“毫米级”精准狙击。
制度赋能:足不出省享国家级诊疗
近年来,甘肃省武威肿瘤医院在推动重离子治疗联盟和50个专家工作站工作中取得的重要成果。作为全球唯一一家同时运营两台重离子治疗系统的医院,甘肃省武威肿瘤医院始终致力于肿瘤治疗技术的持续发展与创新。兰州重离子中心是甘肃省武威肿瘤医院运营的第二个中国自主知识产权的重离子临床应用中心,该系统于2024年11月15日在兰州重离子中心投入临床运行。截至目前,该中心已完成400余例患者的光子、重离子治疗,覆盖肺癌、胰腺癌、肝癌、脑胶质瘤等病种。
此次高难度穿刺活检的顺利完成,是我院深化“全国首席专家每日坐诊”机制的又一成果。该机制通过常态化引入国内各肿瘤亚专业领域的顶尖专家,不仅让甘肃乃至西北地区的肿瘤患者在家门口就能享受到国内一流的诊疗服务,避免了长途奔波,更通过现场手术带教、疑难病例讨论、学术讲座等形式,极大促进了中心本土医护团队技术水平的快速提升与经验积累。

北京大学医学部放射肿瘤学系终身名誉教授申文江

甘肃省武威肿瘤医院兰州重离子中心院长王俊杰

北京大学第三医院泌尿外科马潞林教授

北京大学肿瘤医院放疗科徐博教授

日本著名近距离放射治疗与肿瘤学专家吉冈靖生教授

德国吕贝克近距离中心主任、意大利圣心大学教育项目主任乔治.科瓦茨教授
未来,甘肃省武威肿瘤医院兰州重离子中心将继续扩容顶尖专家资源库,完善“医教研用”一体化人才培养体系,以更强大的人才阵容、更精准的治疗技术、更优质的医疗服务,为甘肃及周边地区患者筑起生命健康的坚实防线,让“中国重离子技术”的普惠之光照亮西北大地。
微创介入科
甘肃省武威肿瘤医院兰州重离子中心微创介入科由王俊杰院长主导、聘请省内外知名的肿瘤微创介入治疗设立,科室以开展肿瘤微创介入治疗为特色,补充放射治疗短板,形成完整肿瘤治疗体系。

科室设置床位30张,住院环境优美,设施完备。科室现配置有美国GE血管减影机、大孔径螺旋CT、微波射频热凝机、脉冲射频机、放射性粒子植入和计划系统、高清超声、区域循环热灌注治疗机等设备,开展肿瘤DSA引导下的各类微创操作、CT引导下的各类微创操作、超声引导下的各类微创操作,同时对常见病大静脉血管曲张、动静脉瘘、糖尿病足等四肢血管疾病开展微创治疗。
科室代表性技术
肿瘤腹腔热灌注化疗;肿瘤胸腔热灌注化疗;放射性粒子植入术;CT引导下肝脏肿瘤消融术;CT引导下肺结节微波热凝治疗;CT引导下肺结节氩氦刀冷凝治疗;超声引导下肝脏结节微波热凝治疗;超声引导下甲状腺结节取检术;超声引导下腋窝淋巴结取检术;超声引导下甲状腺结节微波热凝术;DSA引导下深静脉取栓术;DSA引导下肺血管栓塞术;DSA引导下肿瘤血管栓塞化疗;DSA引导下四肢血管扩张术;DSA引导下动脉瘤封堵术;大隐静脉血管微波热凝术;DSA动静脉血管瘘翻修术;DSA下脑血管造影和栓塞术;DSA下经颈静脉肝内门体静脉分流术。