重离子特色治疗技术——骶尾部脊索瘤的重离子放射治疗
重离子特色治疗技术——骶尾部脊索瘤的重离子放射治疗
脊索瘤是一种起源于胚胎期脊索组织的恶性肿瘤。好发于骶骨、尾骨和颈颅交界处。发病率占所有骨肿瘤的1%-4%左右。根据病理分型分为普通型、软骨样脊索瘤和间质型,属于低度恶性肿瘤病变。


临床表现以骶尾部疼痛、肿胀,大小便失禁,性功能障碍等为主要表现。结合病史、临床表现、影像学检查及病理学检查进行综合诊断。


治疗对比
1、手术:目前大多数医疗机构选择手术治疗,手术是以往治疗是的金标准,但是存在有肿瘤切除手术边缘阳性、肿瘤残余的可能。同事手术对骶丛神经会形成巨大的破坏,依据肿瘤病变位置的高低,手术会形成骶丛神经不同节段的损伤,最后出现大小便功能的自主控制,生活质量明显下降。
2、放疗:适用于无法手术或手术切缘阳性患者,可以选择光子和质子重离子。以往普通光子放疗的被认为效果差,最新的质子重离子放射治疗则被认为是对此类乏氧性肿瘤具有很好的疗效,能够有效控制原发肿瘤的增生或者残留肿瘤的复发。
3、手术联合放疗:为现在主要治疗方式,手术后辅助放疗以减少局部擦浴肿瘤的复发。但是在手术后进行放疗,属于补救式治疗,患者在手术过程中已经形成了神经功能损伤和肿瘤残余。
4、化疗:目前认为脊索瘤对化疗不敏感,靶向治疗中安罗替尼对脊索瘤有一定疗效。
①放射治疗的对比:
②传统放疗在综合治疗中地位:

放疗可显著降低局部复发率,提高生存率。放疗作为手术的辅助治疗,可消灭残留肿瘤细胞。放疗可缓解疼痛症状,提高患者生活质量。
重离子放疗在骨与软组织肿瘤治疗中作用:

显著降低局部复发率,提高生存率。能量的投放精准,对肿瘤周围组织的皮肤损伤小,对神经组织损伤较小。放疗作为手术的辅助治疗,可消灭乏氧性肿瘤细胞组织,导致肿瘤细胞双链DNA断裂,不可修复。放疗可缓解疼痛症状,提高患者生活质量。
骶尾部脊索瘤治疗所要考虑的问题:
骶尾部手术切除:
1、手术切除的范围和边界的问题;
2、术中出血的问题;
3、且出售皮肤缺损、创面修复重建的问题;
4、神经功能障碍的问题,膀胱和肛门功能、部分感觉;
5、术后复发的问题;
常规放疗技术:
1、放疗边界的问题;
2、旁脏器损伤和不良反应的问题;
3、对神经功能的损伤,神经耐受程度在60GGY左右;
4、术后复发的问题,肿瘤组织部位放射剂量设定和能量投放的问题;
5、骶尾部皮肤的问题;
6、肿瘤对X射线敏感程度低下。
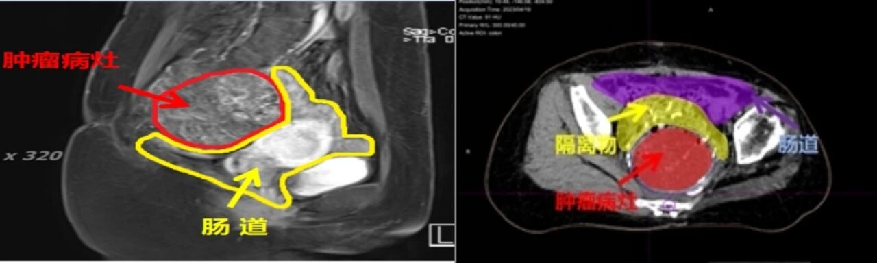
甘肃省武威肿瘤骨与软组织肿瘤多学科MDT诊疗团队,设计一种新的重离子术中放疗新方法,脏器与癌肿间外科置入Spacer隔离物重离子治疗技术,能够解决解决以下问题:
1、放射治疗边界的问题;
2、手术切除治疗边界的问题;
3、术中出血的问题;
4、旁脏器损伤的问题;
5、局部皮肤软组织的问题;
6、术后膀胱(尿道括约肌)、直肠(肛门括约肌)、皮肤感觉功能问题;
7、生活质量的问题;因碳离子治疗采用大分割短疗程,当肿瘤与胃肠道位置比较接近时, 因胃肠不能耐受高剂量放疗,所以考 虑到胃肠道的放疗耐受量,距离胃肠道近的部分肿瘤在 治疗时不能接受根治性剂量。在碳离子治疗前,进行开腹或腹腔镜手术,把纱布垫放置在肿瘤与相邻胃肠道之间,拉开两者之间的距离, 后进行定位及计划设计,保证胃肠道无放疗受量,从未 给与肿瘤根治性剂量。
通过此项技术的实施,能够达到以下目的:
1、保护好正常组织:在放疗过程中,要尽可能保护周围正常组织,避免或减少对正常组织的损伤。
2、精确定位:确保放疗靶区与手术野完全重合,保证放疗的准确性。
3、控制放疗剂量:根据放疗计划和患者的实际情况,精确控制放疗剂量,避免剂量过大或过小。


在已经经过治疗的73例脊索瘤当中,共计完成9例此项技术,获得了很好的肿瘤控制效果;患者的骶丛神经功能获得了良好的保留,具有自主的大小便控制功能;治疗并发症明显减少,手术和放疗的相关并发症发生率明显减少;患者的可接受程度明显增加。在随访的过程中获得患者的好评。
部分案例随访图片:
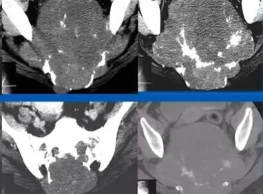
一、患者男,52岁,骶尾部脊索瘤术后复发,2021年5月17日行重离子治疗。

治疗前2021年5月12日 治疗后2022年7月28日
二、患者男,51岁,骶尾部脊索瘤,2022年5月23日行重离子治疗。

治疗前2022年5月6日 治疗后2024年8月12日
三、患者男,58岁,骶尾部脊索瘤,2022年5月25日行重离子治疗。

治疗前2022年4月25日 治疗后2024年6月4日