为介入手术装上“火眼金睛” ——我院成功开展OCT技术引导下的高难度急诊PCI
为介入手术装上“火眼金睛” ——我院成功开展OCT技术引导下的高难度急诊PCI
近日,我院心血管内科介入中心团队成功完成一例在光学相干断层成像(OCT)技术辅助下的急诊经皮冠状动脉介入治疗(PCI)。该技术的应用,标志着我院在冠心病精准介入诊疗领域迈上了新台阶,为复杂危重患者提供了更优的救治方案。
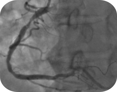
患者因急性冠脉综合征入院。冠脉造影提示其冠脉病变复杂,第一对角支近端闭塞,右冠状动脉(RCA)近段存在95%的重度狭窄伴血栓。面对如此复杂且危重的病情,团队决定启用先进的OCT技术来指导手术。



术前造影及OCT图像可见右冠脉局部大量白色血栓,伴局部破溃。



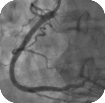
术后造影及OCT图像:术后支架近端及远端贴壁良好,即刻管腔狭窄得以明显改善。
在完成右冠状动脉(RCA)病变的预处理及药物洗脱支架植入后,尽管造影结果提示血流通畅,但为追求更理想的远期预后,团队随即进行了OCT腔内影像学评估。OCT的高分辨率横断面成像清晰显示了支架梁与血管壁的贴壁情况,准确识别出局部存在的贴壁不良。基于此精确反馈,术者选择了合适的非顺应性球囊进行了针对性的后扩张,并经OCT确认支架贴壁得到显著改善,达到了优化的植入效果。
在处理更为棘手的对角支病变时,OCT技术再次为关键治疗决策提供了重要依据。其高清晰度影像精确揭示了球囊成形术后血管壁的细微夹层及其形态学特征,辅助团队全面评估了病变血管的解剖条件与干预后反应。综合OCT所提供的精确信息,团队最终制定了以优化药物治疗为主的个体化策略,体现了精准医疗的核心理念。
技术亮点与意义
1、精准评估,突破视野局限:OCT能精准识别血管壁的细微结构,精确评估斑块性质、支架贴壁与扩张情况,弥补了传统造影的不足。
2、优化策略,实现精准治疗:基于OCT的客观影像证据,能指导制定更优的介入策略,包括支架尺寸选择、落脚点确定及术后效果评价,提升治疗质量。
3、科学决策,保障患者获益:有效辅助医生判断处理界限,在追求最佳疗效的同时,也能避免不必要的器械植入,最大化患者远期获益。
此项新技术的成功开展,彰显了我院心内科紧跟学科前沿、不断追求技术创新的能力。未来,我科将持续推进OCT等精准诊疗技术的规范化应用,为提升区域心血管急危重症救治水平贡献力量。