一次完成治疗!全球首创呼吸管控技术,让重离子治疗更精准、更安全
一次完成治疗!全球首创呼吸管控技术,让重离子治疗更精准、更安全
你知道吗?呼吸这件我们每天下意识做的事,却曾是肿瘤精准放疗的“拦路虎”。对于肺癌、肝癌这类胸腹部肿瘤来说,患者每一次呼吸,都会带动肿瘤位置发生偏移。这种微小的移动,在重离子治疗这种“高精度武器”面前,却可能导致射线偏离病灶,既影响治疗效果,又可能损伤周围正常组织。这也是长期困扰全球放疗领域的核心难题。
呼吸运动引发的靶区偏移,是长期制约肿瘤放疗精度的全球核心难题。传统解决方案精度有限、患者耐受度低,难以适配碳离子放疗“单次剂量高、分割次数少”的技术特性。国外虽对高频振荡通气技术有初步探索,却始终未能突破屏气后自主呼吸干扰疗效的关键瓶颈。面对技术壁垒,武威重离子中心放疗科与重症医学科深度协作,构建起“无创高频振荡通气+全身麻醉”的双重呼吸管控体系。
甘肃省武威肿瘤医院武威重离子中心全球首创的高频震荡呼吸管控下精确重离子治疗技术,取得临床突破!相关成果还登上了SCI国际权威期刊,这意味着我们的自主创新技术得到了国际认可。
这项技术到底厉害在哪?简单来说,它创造性地把“无创高频振荡通气”和“全身麻醉抑制呼吸”两种技术结合起来,构建了一套双重呼吸管控体系。最终实现了一个惊人的效果——将胸腹部肿瘤靶区的呼吸位移精准控制在2毫米以内,为肺癌、肝癌等移动性肿瘤治疗,量身打造了集精度、安全与效率于一体的“中国方案”。


正常呼吸

全麻高频振荡呼吸机
具体来看,这项技术实现了三大核心突破:
01 亚毫米级定位,精准“狙击”病灶
就像给重离子射线装上了“导航系统”,彻底消除了呼吸带来的器官运动干扰,让射线能精准聚焦在肿瘤上,实现对癌细胞的“精准杀伤”。
02 安全性能拉满,患者更安心
这项技术已经过23名医护志愿者的临床验证,不仅操作简单易掌握,患者的耐受性也很好,治疗效果还能重复。更重要的是,它能大幅减少正常组织受到的射线剂量,降低放射性肺炎等并发症的风险,对患者来说更安全。03
03 一次治疗搞定,高效又省心
支持一次性完成同一个器官多个部位的照射,不用患者多次往返医院,既显著缩短了住院周期,减轻了患者的就医负担,也节约了宝贵的医疗资源。

这项技术的核心价值,在于构建了“精准杀伤+安全保护+高效治疗”的三维诊疗体系。它完美结合了高频振荡通气的呼吸控制优势和重离子放疗的物理特性,尤其为那些高龄、身体虚弱,或者肿瘤长在手术禁区的患者,开辟了一条全新的治疗路径。
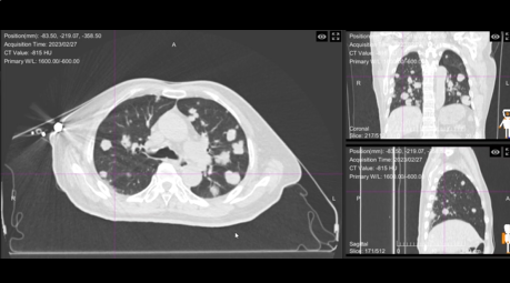
62岁的刘女士就是这项技术的受益者之一。她被确诊为肺继发恶性肿瘤(pT0N0M1 IV期),PET/CT检查显示右肺上叶有混合磨玻璃状密度增高影,代谢增高,考虑为肺转移。在传统治疗方案受限的情况下,这项全新的重离子治疗技术,为她带来了新的康复希望。

作为中国重离子技术的“井冈山”,武威重离子中心的这一创新,不仅填补了无创高频振荡通气技术在重离子治疗领域应用的国际空白,更以“中国智造”的硬核实力,推动全球肿瘤治疗从“有创根治”向“无创精准”的革命性跨越。
未来,随着这项技术的进一步推广和优化,将会有更多全球肿瘤患者从中受益,亲身感受中国精准医疗技术的魅力,这也将持续彰显中国在精准医疗领域的自主创新能力与国际引领地位。