精准 “镜” 取,碎石通“肠” —— 我院消化内二科成功救治复杂性小肠梗阻患者
精准 “镜” 取,碎石通“肠” —— 我院消化内二科成功救治复杂性小肠梗阻患者
近日,我院消化内二科再迎新突破——成功为一名合并多种基础疾病的老年女性患者实施了个体化“小肠镜下激光碎石术”,精准清除了导致小肠梗阻的“元凶”,解除了患者病痛。
病情复杂,险象环生
患者齐某,女,84岁。1月前因“腹部胀痛”在数家医院辗转诊疗,诊断为“胆囊结石并炎症,肠梗阻“,治疗后病情反复,且出现进食后右上腹胀痛加重症状。最终慕名就诊于我院消化科。患者既往有多年糖尿病病史,此次发病后由于反复禁食及应用药物,患者精神萎靡,呈营养不良、衰竭状态,且血糖控制不稳。入院后复查腹部CT检查提示:十二指肠球部旁较大囊袋影,其内数个致密结节,胆囊穿孔并胆肠瘘待排,憩室不除外,部分肝内外胆管扩张积气;小肠内低密度团块影,大小约3cm,阴性结石或肿瘤性病变相鉴别,其以上不全肠梗阻;肝内多发囊性病变,考虑肝脓肿;肝内外胆管扩张积气;无痛胃镜提示:十二指肠球部前壁可见一直径约1.5cm的,表面污苔附着,局部似有气体溢出,考虑与胆囊成瘘,周围组织水肿明显。检验学提示低蛋白血症、电解质紊乱、高血糖症;血常规呈感染状态,凝血功能异常。





精准施策,内镜显神通
面对这一特殊病例,消化内科二科刘金殿主任立即组织科室骨干医师和外科医师进行了的病例讨论。考虑此患者系胆囊与十二指肠形成瘘,胆结石通过十二指肠瘘口进入小肠,结石位置特殊,引发了机械性小肠梗阻。小肠梗阻是外科常见的急症和外科手术的适应症之一,但患者由于反复长期禁食、血糖控制不稳、年龄较大、心肺功能欠佳,外科手术和麻醉风险极高,且外科手术创伤大、恢复慢,数家医院外科医师均表示风险极大。如何在最小创伤或无创的前提下,安全有效地取出结石,成为摆在消化内二科团队面前的一道难题。
结合患者的年龄、基础疾病、预后以及患者的具体病情的整体状况,团队经过审慎评估,认为尝试小肠镜下取石、碎石是当前最佳的治疗方案。该手术方案具有创伤小、恢复快、对患者全身状况影响小、甚至无影响等显著优势,但同时也对操作医师的技术水平提出了极高的要求,需要医师具备精湛的内镜操控技巧和丰富的临床经验,才能在蜿蜒曲折的小肠内准确定位结石,并安全地实施取石或碎石治疗。
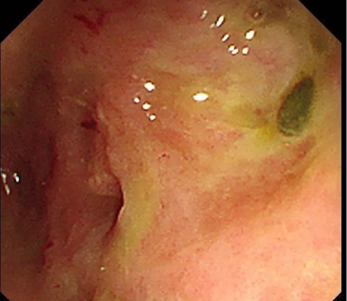
在充分的术前准备和与患者及家属的有效沟通后,手术如期进行。在消化中心卢林芝主任医师的指导下,消化内二科刘金殿主任及边玉龙副主任,凭借娴熟的操作技巧,将小肠镜缓缓插入小肠内探查,经过不懈努力,终于在小肠的梗阻部位找到了肇事的结石。内镜下发现结石堵塞小肠肠腔,结石嵌顿,周围肠壁水肿,局部压迫性浅溃疡形成,由于空间限制,无法用网篮套取取石或碎石,遂选择激光碎石,通过液电激光碎石探头将嵌顿结石击碎成细小的颗粒,直至小肠镜顺利通过。梗阻问题迎刃而解。术后患者腹部胀痛症状消失,正常进食,这些碎石颗粒随后被患者自行排出体外,复查腹部CT下腹部小肠内未见结石影,不全肠梗阻消失,痊愈出院。




技术领先,守护健康
此患者的成功治疗,不仅救治了患者,而且充分体现了我院消化科医师在诊治消化系统疾病方面的临床思维创新能力和消化内镜诊断、治疗领域的技术实力。是我院消化内科技术水平、能力的又一次有力证明。消化内二科将继续秉承 “以患者为中心” 的服务理念,不断提升医疗技术水平和服务质量,为广大患者的健康保驾护航,努力打造区域内一流的消化内科诊疗中心。