十年“慧眼”探肺腑,微创精准守健康
十年“慧眼”探肺腑,微创精准守健康
——甘肃省武威肿瘤医院呼吸与危重症医学科超声支气管镜检查技术开展十周年纪
在呼吸系统疾病的诊断迷宫中,一把融合了支气管镜与超声技术的“利器”,已经在我院默默守护患者健康长达十年。
十载春华秋实,技术精进不辍。甘肃省武威肿瘤医院呼吸与危重症医学科自十年前率先在武威市、乃至兰州市之外首家引进并成熟应用超声支气管镜检查技术以来,已成功为数以千计的患者提供了精准、微创的诊断和治疗。
这项技术犹如赋予医生一双能看透气管支气管壁的“慧眼”,让以往难以触及的纵隔淋巴结和肺外周病灶无处遁形。
01 技术领航,十年坚守
超声支气管镜技术代表了现代呼吸介入诊疗的前沿。它通过在支气管镜前端集成一个微型超声探头,实现了两大突破。
这项技术能突破传统支气管镜仅能观察管腔内表面的局限,清晰显示管壁深处及管腔外的组织结构。更重要的是,它能在实时超声图像的引导下,对纵隔或肺门肿大的淋巴结、肺外周结节进行精准穿刺活检,彻底告别了以往的“盲穿”时代。
这双“慧眼”主要洞察哪些问题呢?它的核心适应症包括:肺癌的精准诊断与淋巴结分期、原因不明的肺门/纵隔淋巴结肿大、肺部外周病变,以及肺结节病、淋巴瘤、结核等疑难疾病的鉴别诊断。

02 发展历程,区域率先
十年前,当这项技术在国内刚刚兴起不久,我院呼吸与危重症医学科便以敏锐的眼光和敢于创新的精神,率先在武威市引入并成功开展。
我们不仅是武威地区最早开展此项技术的医院,更是甘肃省内首批、兰州以外第一家掌握并常规应用该技术的医疗中心之一,迄今为止也是武威市唯一拥有此项技术医院。
十年间,从最初的探索学习到如今的娴熟普及,科室团队不断积累经验,技术应用范围持续拓展。我们已将超声支气管镜与内科胸腔镜、硬质支气管镜检查、经皮肺部疾病诊疗技术、经支气管镜介入治疗等多项技术整合,构建了完善的呼吸系统疾病微创诊疗体系。
03 优势凸显,患者受益
与传统的诊断方法相比,超声支气管镜检查技术为患者带来了切实的获益。精准安全,可视化操作。实时超声成像能清晰显示病灶周围的血管走向,引导穿刺针精准避开血管,极大降低了出血风险,提高了操作的安全性。
微创高效,恢复迅速。检查仅通过自然气道进行,体表无切口,创伤极小。患者痛苦小,术后恢复快,平均住院时间显著缩短。
诊断效能高,避免大手术。对纵隔淋巴结等部位的病变,其诊断准确性极高,已成为国际指南推荐的肺癌分期重要手段。许多患者因此避免了为明确诊断而进行的开胸探查手术。
04 典型病例,技术力量
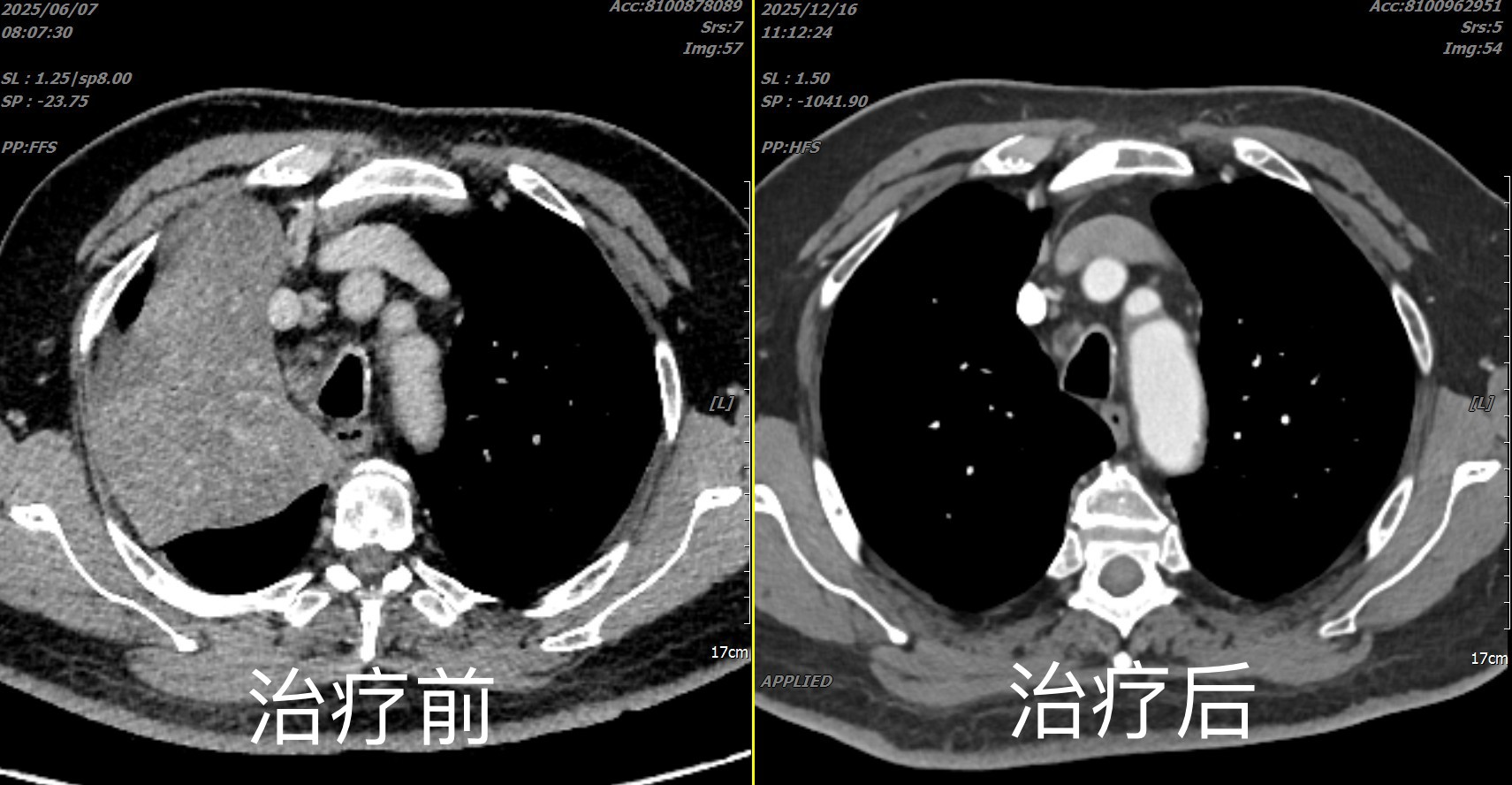
病例一:肺癌精准分期,避免过度治疗
一位老年男性患者,因咳嗽、气短入院,CT发现肺部肿块并伴有纵隔多发淋巴结肿大。传统检查难以判断淋巴结是炎症还是癌转移。
经我科超声支气管镜检查,在超声实时引导下,对多个可疑淋巴结进行了安全、精准的穿刺活检。病理结果证实部分淋巴结为转移癌,明确了肺癌分期为III期。这一关键诊断,使患者避免了直接手术(若淋巴结为阴性可手术),转而接受了更合适的新辅助化疗联合免疫治疗,为制定科学、个性化的治疗方案提供了决定性依据。

病例二:罕见病明确诊断,解开多年谜团
一位中年女性,持续低热、咳嗽伴纵隔淋巴结肿大多年,辗转多家医院未能确诊,曾疑诊淋巴瘤或结核,但治疗无效。患者来我院后,我们为其进行了超声支气管镜引导下纵隔淋巴结活检。获取的标本量足且质量高,病理结合特殊染色及基因检测,最终确诊为一种罕见的肺结节病。明确诊断后,调整治疗方案,患者症状得到快速缓解。此病例彰显了该技术在诊断复杂、罕见肺部疾病方面的独特价值。

05 科室实力,守护健康
甘肃省武威肿瘤医院呼吸与危重症医学科是武威市唯一的省级重点的呼吸与危重症医学科,是一个集医疗、教学、科研于一体的综合性科室。科室下设呼吸内镜诊疗中心、肺癌学组、慢阻肺学组、肺间质疾病学组、肺血管疾病学组、呼吸介入等学组,配备有国际先进的超声支气管镜、高清电子支气管镜、超细支气管镜、硬质支气管镜、内科胸腔镜、美国安波澜多导睡眠监测仪等全套设备。
科室团队技术力量雄厚,在院领导、科主任的带领下,熟练掌握并常规开展包括超声支气管镜引导下穿刺活检(EBUS-TBNA)、经支气管镜肺活检(TBLB)、内科胸腔镜、硬质支气管镜等呼吸介入治疗等一系列高精尖技术。
科室始终坚持以患者为中心,以精准诊疗为目标。超声支气管镜技术开展十周年,是一个里程碑,更是一个新起点。未来,科室将继续秉持创新精神,不断攀登技术高峰,用更精准的“慧眼”和更微创的手段,为河西地区乃至更广大范围内的呼吸系统疾病患者守护健康。
呼吸与危重症医学科(重离子)简介
●中国肺癌防治联盟武威市肺癌、肺结节诊治中心。
●省级重点学科,现有李正国主任医师、曾多副主任医师、魏婷主治医师赵丽主治医师、张建婷主治医师等一批学科带头人和学术骨干、多名医生荣获省级和市级优秀医师。
●超声支气管镜下经支气管针吸活检术、硬质支气管镜、内科胸腔镜检查、硅酮支架置入、肺癌微波消融术、肺癌粒子植入、支气管镜下氩等离子体凝固治疗(APC)、激光半导体治疗、冷冻治疗等特色技术水平在省内排前。
●对原发性支气管肺癌规范化诊治、肺部重症感染、呼吸衰竭、急性呼吸窘迫综合症等呼吸系统疾病规范性诊治具有丰富的经验。
●科室先后荣获国家级PCCM达标单位、肺癌诊疗规范化管理千家医院项目单位、全省优秀医师团队、甘肃省支气管介入治疗规范化操作技能大赛二等奖等荣誉。
●发表SCI论文5篇,国家级核心期刊论文8篇,省级论文20篇,论著1篇。
●拥有菲利普PB840呼吸机、Resmed无创呼吸机、安波澜睡眠呼吸监测仪、奥林巴斯电子支气管治疗镜、超声支气管镜EBUS-TBNA、德国STORZ硬质支气管镜、氩气刀、高频电刀,冷冻治疗、激光治疗等高端设备。





李正国
主任医师 甘肃省武威肿瘤医院呼吸与危重症医学科(省级重点学科)主任,亚洲冷冻专委会委员,中国医师协会肿瘤专业委员会委员,中国临床肿瘤学会肺癌专业委员会委员,中国老年保健协会肺癌专业委员会委员,中国肺癌防治联盟常务委员,中国肺癌防治联盟甘肃省武威市肺癌诊治中心主任,中国肺癌联盟甘肃省武威市肺结节早诊早治中心主任,中国中药协会治疗药物研究会委员,甘肃省抗癌协会小细胞肺癌专委会副主任委员,中国中药协会肿瘤药物研究委员会委员,甘肃省医学会呼吸疾病委员会委员,甘肃省医师协会哮喘病委员会委员,甘肃省医师协会临床精准医疗医师委员会委员,甘肃省老年医学学会老年病基因健康管理委员会委员,甘肃省老年医学学会肿瘤专业委员会委员,武威市科技特派员,武威市医学会呼吸病委员会副主任委员,甘肃省优秀医生,主持和参与完成市科研项目5项,获市级科技进步奖。发表论文10余篇,SCI文章3篇,完成国家级分中心临床试验6项。
从事临床工作30余年,擅长于肺癌规范化诊治、肺纤维化、慢性肺源性心脏病、恶性胸腔积液、呼吸衰竭等呼吸系统疾病疑难危重症疾病诊断和治疗。

曾多
呼吸与危重症医学科副主任医师,毕业于兰州大学临床医学专业,本科学历,学士学位,主要擅长呼吸系统疾病的诊疗,如慢性阻塞性肺疾病、慢性肺源性心脏病、支气管哮喘、支气管扩张、肺癌、肺血管病、间质性肺病、胸腔积液等疾病的规范化治疗。熟练应用支气管镜下的诊断及治疗。现为中国肺癌联盟委员,甘肃省医学会呼吸结核分会委员,甘肃省医师协会临床精准医疗医师委员会委员,甘肃省老年医学学会老年病基因管理委员会委员。先后在第四军医大学附属西京医院呼吸内科、上海长海医院呼吸内镜介入诊疗中心进修学习。完成市级科研项目两项,在国家级及省级学术期刊发表论文3篇。

魏婷
高年资主治医师。主要擅长各类呼吸内科常见病多发病的诊治,尤其是呼吸专业急危重症的诊治;擅长胸部良恶性肿瘤的规范化诊治及恶性肿瘤的靶向治疗、化疗及免疫治疗;擅长呼吸内镜的规范诊疗技术。2022年9月-2023年2月在四川大学华西医院RICU进修学习,曾获得甘肃省第二届支气管镜规范化操作技能大赛(决赛)二等奖。