毫米级精准!当核磁共振技术遇上三维后装放疗,妇科肿瘤治疗进入“立体狙击”新时代
毫米级精准!当核磁共振技术遇上三维后装放疗,妇科肿瘤治疗进入“立体狙击”新时代
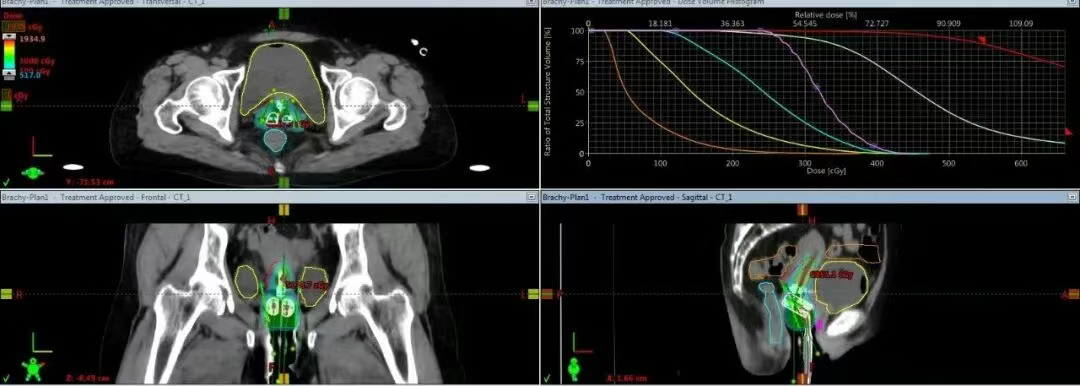
妇科肿瘤在核磁引导下的三维后装放射治疗
妇科肿瘤治疗进入“立体狙击”新时代
在妇科肿瘤(尤其是宫颈癌)的放射治疗中,后装治疗是至关重要的一环。它将放射源直接放入或贴近肿瘤靶区,进行“内部爆破”,对肿瘤造成毁灭性打击,同时更好地保护周围正常器官。现在,我们迎来了核磁引导下的三维后装放射治疗。核磁影像引导下的三维后装治疗具有精准靶区范围、保护周围危及器官,以及改善患者临床结局等方面的优势。医生可根据图像信息明确肿瘤位置,精准地勾画照射的部位,经治疗计划系统计算剂量分布,得到结果后对肿瘤进行放射治疗。

这不仅仅是技术进步,更是治疗理念的飞跃
1. 看得清,才能打得准
目前,大多数三维后装放疗是在CT引导下进行的,但CT在软组织显影上存在劣势,对于难治性病例,如宫旁、阴道肿瘤浸润或伴有膀胱、直肠受侵等,肿瘤往往因与正常组织器官有粘连,间隙不明显,在CT引导下难以分辨肿瘤靶区与正常组织器官的边界。MRI(核磁共振)拥有无与伦比的软组织分辨率。在定位时,它能清晰勾勒出肿瘤的三维形态、大小、浸润范围,同时能极度精准地显示膀胱、直肠、小肠等危及器官的边界。

2. 三维设计,剂量“雕刻”
三维后装可根据肿瘤的形态调整照射范围,在提高肿瘤照射的同时大大減低正常组织的照射。实现了靶区剂量的个体化分布,提高了靶区覆盖率,提高了患者生存率,显著降低复发率。基于高清的MRI三维图像,我们可以直接在计算机上进行三维靶区勾画和剂量学优化。物理师精确设计放射源的驻留位置和时间,让高剂量区完美包裹肿瘤(靶区),同时让危及器官的剂量曲线急剧跌落。

3. 疗效与安全性的双赢
· 提升疗效:确保肿瘤区域接受足量,甚至可进行剂量拔高的照射,减少因剂量不足导致的复发风险。
· 守护安全:最大程度地降低直肠炎、膀胱炎、阴道狭窄等并发症的发生率和严重程度,显著提升患者治疗后的生活质量。

这个过程是怎样的?
患者在特定的施源器放置后,进入CT及MRI室进行扫描。影像即刻传输至治疗计划系统,融合CT及MRI图像后医生勾画靶区与危及器官,物理师进行快速、精准的剂量计算与优化,验证审核无误后即刻实施治疗。

对患者意味着什么?
更精准的治疗,意味着更高的治愈希望和更少的治疗痛苦。这是精准医疗在放射治疗领域的生动实践。
妇科肿瘤放疗已步入“三维影像引导”的精准时代。核磁共振三维后装治疗,正是我们手中更为锐利和智能的“武器”,它让每一次治疗都有的放矢,为患者的生命健康提供更坚实的保障。
拥抱新技术,是为了给生命以更好的托付。
放疗二科

放疗二科作为妇科肿瘤组放射治疗专科,专注于妇科肿瘤放射治疗,配备先进放疗设备与专业医护团队,为妇科肿瘤患者提供精准、规范、个体化的综合治疗。积极开展妇科肿瘤放疗相关基础与临床研究,承担多项科研课题。同时,作为教学实习基地,为行业输送人才。科室旨在以患者为中心,以先进技术为支撑,致力于提高妇科肿瘤患者的治愈率和生活质量,为患者提供优质、高效、人性化的医疗服务。
● 专业团队
科室现有医护人员14人,主任医师1人,主治医生1人,住院医师4人,其中硕士研究生5人,护士8人,是一支知识储备丰厚富有朝气活力的专业技术队伍。科主任赵凤菊主任医师从事放疗工作 30余年,是西北地区难得的肿瘤专科专家,担任甘肃省抗癌协会近距离专委会主任委员、西北妇瘤及近距离专委会副主委,擅长妇科肿瘤放化疗及免疫靶向综合治疗,开展了妇科肿瘤CIRT、IGRT放疗等外照射技术,三维近距离后装、组间插植治疗,无痛后装治疗等,在肿瘤放化疗方面有丰富临床实践经验。并有全国放射治疗委员会主任委员、北京大学第三医院放疗科主任、兰州重离子中心院长王俊杰教授、陆军军区总医院放疗科主任李莎教授及兰州大学第一医院杜兰宁教授提供技术及学术指导。
● 治疗范围
科室主要开展针对宫颈癌、子宫内膜癌、卵巢癌、外阴癌、阴道癌、乳腺癌等各种女性常见恶性肿瘤,以及消化道恶性肿瘤、泌尿系恶性肿瘤、软组织恶性肿瘤等其他恶性肿瘤的碳离子、光子放疗及近距离放疗。并开展各种恶性肿瘤的化疗、靶向、免疫、细胞免疫等综合治疗。