一例小细胞肺癌治疗经过
一例小细胞肺癌治疗经过
人生有多少个十年,武威医科院肿瘤医院有一位间断治疗十年的晚期肺癌患者,让我们对肿瘤患者的治疗有更加深刻的认识与理解,也希望我们肿瘤患者朋友在带瘤生存的漫长人生里有更多的勇气与希望,规范治疗,更加有质量、有希望的活着。
病例分享
2013年10月我院接诊了一位本地的肺癌(鳞状细胞癌)患者杨XX,他因为出现“刺激性干咳、气短”就诊于我院胸外科,查胸部CT示:前纵膈胸腺区占位病灶(42mm×35mm×32mm)并右肺内多发结节灶及胸12椎体骨质破坏性改变。头颅+腰椎核磁未见明显肿瘤性病变。于2013年11月初行全麻下“右侧开胸探查术”,病检示:(纵膈)肺低分化鳞癌,(第三)肋骨及送检膈肌组织内见癌组织浸润。
术后行3周期化疗,复查提示病灶缩小。其后患者因经济原因未行特殊治疗。2016年11月1日患者复查胸部CT,疗效评价:PD(病情进展)。建议行放化同步治疗,患者及家属拒绝放疗间断化疗六次。于2018年6月至10月因病情进展再次行化疗4周期后复查胸部CT结果提示病情稳定,患者因经济原因未继续化疗。
2018年11月9日至2019年9月患者参与我科开展的临床试验,给予“复方红豆杉胶囊0.6g po tid”治疗,定期复查,病情稳定。2019年8月复查胸部CT提示病情进展,结束试验。
其后患者因经济原因2020年7月至2023年1月间断至我院行化学治疗。期间因患者依存性较差,未能规律行化学治疗,2021年12月患者出现脑转移,于2021年 12月16日至2021年12月28日行肺癌脑转移二维适形放疗。于2023年1月患者再次因未规律化学治疗致病情进展,患者不愿继续化疗开始口服“马来酸阿法替尼片(自带)40mg 口服 qd”靶向治疗至今。2023年3月3日我院复查胸腹盆平扫CT、头颅平扫MR:疗效评估:SD。
目前这个患者已安全度过10年,目前一般情况可,生活工作如常,家人身体健康,子孙满堂,每次遇见他,总觉得人生漫漫,开心就好,活着就很好。我科会继续随访该患者,愿每一位患者都能有质量的、幸福的活着。
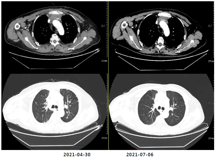
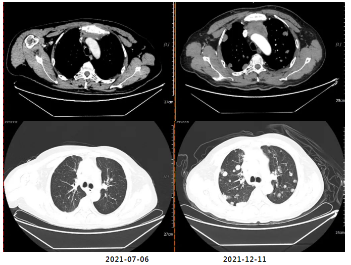
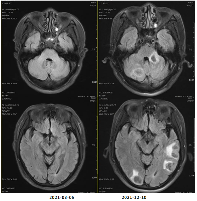
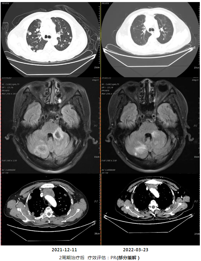
治疗相关影像资料:

与2020年7月3日片对比:两肺多发异常结节较前明显增多、增大(原约3.2×2.1,现约3.9×3.0cm);纵膈前间隙、纵隔内及两肺门多发增大淋巴结较前部分增大(原约5.2×3.4,现约6.7×4.0cm)并胸骨受累(新出),邻近上腔静脉及左头臂静脉受累较前加重。

2周期化疗后复查疗效评价:PR

(四周期化疗后)复查疗效评价:SD(两肺及胸膜结节减少缩小;纵隔前间隙、纵隔内及两肺门淋巴结(2.5×3.0cm)较前部分缩小。


2021年12月11日疗效评价:PD(两肺及胸膜结节明显增多、增大;纵隔前间隙、纵隔内及两肺门转移淋巴结(现约4.7×3.5cm)较前增多、增大,上腔静脉、左头臂静脉受累狭窄;双侧小脑半球、大脑半球转移(约2.1×1.7cm)新发。


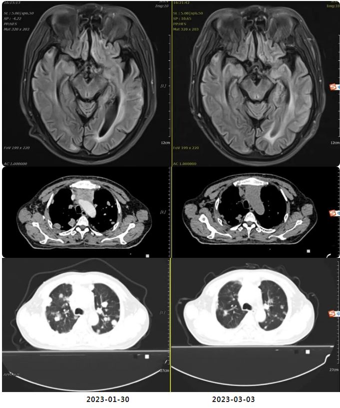
2023年1月30日开始口服“马来酸阿法替尼片(自带)40mg 口服 qd”靶向治疗。
2023年3月3日我院复查胸腹盆平扫CT、头颅平扫MR:疗效评估:SD(病情稳定)
初审:张 洁
复审:马树纤