
甘肃省武威肿瘤医院武威重离子中心放疗二科
(胸部肿瘤重离子治疗专科)
科室标语:精准打击肿瘤细胞,尽情绽“放”生命之光
一、 科室概览与定位
放射治疗科作为甘肃省武威肿瘤医院特色专科,成立于1990年,至今已走过了30多年的历程,经过多年来多位放疗工作者的辛勤努力,己打造成国内知名品牌科室。2018年高科技重离子致癌技术在我院成功应用,为进一步推进放疗科室的发展,放疗科全体同仁不懈努力、倾情付出,2019年被评为甘肃省重点学科。
甘肃省武威肿瘤医院放疗二科(重离子中心)是集临床诊疗、科研创新与人才培养于一体的现代化肿瘤放射治疗专科。科室专注于胸部肿瘤与骨软组织肿瘤以重离子及光子放疗为主的综合治疗,涵盖肺癌、食管癌、胸腺瘤、乳腺癌、骨肉瘤、软组织肉瘤等多种恶性肿瘤的放射治疗与综合管理。科室以服务病人为宗旨,以最佳疗效为目的,以现代影像技术与现代放疗技术紧密结合为平台,实现肿瘤的精准治疗。科室秉承患者至上、精准专业、创新卓越、注重医疗安全与质量、富有同理心与尊重伦理、团队协作的核心价值观,以重离子放疗为核心,结合光子放疗等先进技术,为患者提供高精度、个体化的治疗方案。
二、 人才团队与学科梯队
团队规模:科室现有工作人员15人,形成了一支结构合理、专业扎实的医疗团队。医生团队共7人,包括主任医师1人、主治医师3人、住院医师3人,其中研究生3名;护理团队8人,含副主任护师1人、主管护师3人、护师2人、护士3人。
核心专家:学科带头人陈东基,主任医师,甘肃重离子医院副院长、工会主席,胸部肿瘤、骨与软组织肿瘤重离子放射治疗科(放疗二科)主任,从事放疗工作30余年,曾在德国慕尼黑质子治疗中心留学、医科院肿瘤医院、北京301医院、四川省肿瘤医院等国内外知名肿瘤医院进修学习,现任中国医学会肿瘤放疗学会骨与软组织肿瘤学组秘书、中国抗癌协会肿瘤放疗专业委员会离子治疗学组委员、中国医学装备协会离子放射治疗分会委员、西部放疗协会理事、甘肃省中医药学会肿瘤放疗专委会副主任委员等多个国家级与省级学术职务。在肿瘤放疗、化疗、热疗、综合治疗等方面有丰富的临床经验,尤其在肿瘤碳离子放疗、调强适形放疗、立体定向放疗、免疫及靶向治疗等方面有较深的造诣,为我市肿瘤治疗方面的知名专家。
科室长期聘请多位国际知名专家担任顾问,包括德国慕尼黑质子重离子中心Jorg Hauffe教授、“世界重离子治疗先驱”辻井博彦教授、北京大学医学部放射肿瘤学系终身名誉教授申文江、中国台湾放射治疗权威任益民教授与吴嘉明教授、中华医学会放疗专委会第十届主任委员王俊杰教授、河南省医学会放疗专委会主任委员樊锐太教授、内蒙古省医学会放疗专委会主任委员郁志龙教授,山西省医学会放疗专委会主任委员兰胜民教授、宁夏市医学会放疗专委会主任委员赵仁教授等,定期开展临床指导、科研合作与技术交流。
人才结构:在人才队伍建设方面,科室注重中青年医师培养,培养及引进研究生3名,先后派出科室人员在德国RPTC中心、医科院肿瘤医院、上海质子重离子医院、北京301医院、北大三院、四川省肿瘤医院、浙江省肿瘤医院等国内外知名肿瘤医院进修学习。通过不断学习肿瘤治疗新技术及新项目并进行开展,提高肿瘤综合治疗的水平,在最大限度治疗的同时最大限度地保证患者的生存质量,使科室发展充满动力,打造品牌科室。
科室还特邀台湾放射肿瘤学会前主任委员、原台湾三军总医院放射肿瘤部主任任益民教授长期参与临床查房、会诊与疑难病例讨论;同时聘请甘肃省人民医院放疗科主任魏世鸿教授作为省内指导专家,助力科室学科建设与质量提升。
护理团队:护士在肿瘤患者康复过程中发挥着不可替代的关键作用,其专业性体现在全程化管理、症状控制、心理支持、功能康复指导等多个维度,是肿瘤多学科协作(MDT)团队中最贴近患者、最持续陪伴的核心力量。我科护理团队由副主任护师、主管护师、护师9人组成,均经过系统肿瘤专科培训,她们以高度的责任心和爱心,为患者提供全方位的护理服务,包括放疗前的准备、放疗过程中的监护以及放疗后的康复指导。
三、 诊疗范围与技术特色
主要诊疗范围:科室专注于胸部肿瘤、骨与软组织肿瘤的重离子治疗及光子放疗,包括但不限于食管癌、肺癌、胸腺肿瘤、乳腺癌、骨肿瘤、软组织肿瘤等。同时,对于一些良性疾病,如骨肿瘤、血管畸形等,也可采用重离子放疗进行治疗。
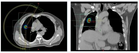
核心技术/特色技术:科室全面开展多项国际主流放射治疗技术,包括重离子放疗、空间分割放疗(Lattice Radiotherapy)、立体定向放射外科(SRS)和立体定向体部放疗(SABR/SBRT)、旋转调强放疗(VMAT)与静态调强放疗(IMRT)、图像引导放疗(IGRT)、三维适形放疗(3D-CRT)、三维后装放疗、深部热疗及体外热疗。科室强调“综合治疗、个体施策”的理念,将放射治疗与手术、免疫治疗、靶向药物、化学治疗及中医药治疗有机结合,为患者制定规范化、全病程管理的治疗方案。自2021年7月成立至今,科室已完成重离子治疗400余例,累计收治各类肿瘤患者超过3000例,疗效显著,得到患者与家属的广泛认可。
放疗二科诊疗新技术
重离子治癌是先进有效的放疗方法,被国际上公认为21世纪最理想的肿瘤放射治疗技术,特别适宜用于外科手术、化疗、常规放疗无效或易复发的难治病例,适用于全身实体肿瘤的放射治疗。重离子射线进入人体后,在肿瘤部位形成“布拉格峰”,能量集中释放,对肿瘤细胞的DNA双链造成不可修复的断裂,从而杀死癌细胞。与传统放疗相比,重离子射线的生物学效应更强,对乏氧肿瘤细胞和传统放疗不敏感的肿瘤效果显著,并且具有对病灶周围健康组织损伤最小,对癌细胞杀伤效果好等优势,患者日常活动不受影响,疗程短、无痛苦,几乎没有副作用。


晶格放疗
是一种新兴的精准放疗技术,通过三维网格化剂量分布,利用空间分割放疗技术,在肿瘤内部构建不均匀剂量分布。高剂量“晶格点”集中于肿瘤内部,形成“峰谷”结构,既能高效杀灭肿瘤细胞,又能通过低剂量区域保护正常组织。这种三维剂量分布突破了传统放疗的均匀照射模式,显著降低对周围器官的辐射损伤在肿瘤内部形成高剂量“晶格点”与低剂量区域交替的格局,实现对肿瘤细胞的精准杀伤,同时最大限度保护周围正常组织。

立体定向放疗
是一种先进的放射治疗技术,利用CT、MRI、PET-CT等先进影像技术,精确确定肿瘤的位置、大小和形状,误差通常控制在毫米级别,确保放射线束精准聚焦于肿瘤靶区,在短时间内给予肿瘤高剂量辐射,单次照射剂量较大(通常5-12Gy/次),分次少(一般2-10次),快速摧毁肿瘤细胞,效果类似手术切除。由于高精度和高剂量特性,能有效减少对周围正常组织的损伤,降低副作用(如恶心、疲劳、皮肤反应等),患者耐受性较好。

调强适形放疗
是一种先进的放射治疗技术,结合了适形放疗和调强放疗的优势,通过多叶光栅(MLC)等技术,使射线照射野的形状与肿瘤的三维形状精确匹配,确保射线仅覆盖肿瘤区域,减少对周围正常组织的照射;在适形的基础上,进一步调整射线束的强度分布。通过计算机算法优化,根据不同部位肿瘤的敏感性和周围正常组织的位置,精确控制射线剂量,使肿瘤内部剂量分布更均匀,同时降低对邻近重要器官(如脊髓、脑干、视神经等)的照射剂量。



图像引导下放疗
图像引导放射治疗(IGRT)结合放射治疗与实时影像监测,通过光学体表、超声、CBCT/CT、MRI等影像设备能够实时监测肿瘤的位置和形状变化,提高治疗的精确性。通过实时监测,IGRT能够及时发现并纠正治疗过程中的偏差,降低正常组织的损伤风险。适用于肿瘤位置不固定或形状易变的病例,如肺癌、肝癌等。此外,在复发性肿瘤和需要高精度治疗的病例中也显示出良好的效果。

四、 硬件设施与科研平台
先进设备:科室引进多台国际先进的大型医疗仪器,包括:中国自主研发第一台重离子加速器、Varian VitalBeam 直线加速器、Varian Clinac iX 直线加速器、Elekta Infinity 四维影像引导直线加速器、GE Discovery MI 大型迭代PET-CT、Siemens MAGNETOM Skyra 3.0T 超导磁共振模拟定位系统、Siemens Somatom Confidence 64排模拟定位CT等。这些设备共同构建起一套完整的高精度放疗平台,为临床治疗提供了坚实基础。
科研:科室迄今已获得省级科技进步奖3项,市級科技一等奖2项、二等奖5项,发表学术论文30余篇,展现出强劲的临床科研实力。
教学与培训:放疗是高精度、高风险的“隐形手术”,设备迭代快、靶区微小偏移1 mm就可能导致肿瘤复发或正常器官穿孔。系统化的教学与培训是把技术转化为“安全且有效”治疗的唯一安全阀,也是科室持续发展、人才梯队建设和患者生存质量的核心保障。科室重视教学与培训,采用理论授课与临床实践向结合的模式,不断培养出多位优秀的放疗医生,同时更加注重医师良好医德医风的塑造,成为推动放疗事业发展的有力保障。
五、 服务理念与患者关怀
放疗二科(重离子)专业技术力量雄厚,质量管理科学严谨,始终秉承“以患者为中心,以技术为驱动,以质量为核心”的服务理念,将先进的治疗技术、严谨的质量控制与人文关怀相结合,努力为每一位肿瘤患者提供安全、高效、温暖的医疗服务。在肿瘤综合治疗领域取得了良好的疗效,其治疗水平、医疗质量及医德患者医风受到广大高度好评。我们将以精湛的技术、优质的服务、崇高的医德继续为广大病患者服务。
特色服务:
科室采取多学科协作(MDT),打破科室壁垒、以患者为中心的先进诊疗模式,通过肿瘤多学科会诊将放疗科、肿瘤内科、外科、影像科、病理科、护理、心理、营养等多专业专家汇聚一堂,对每位患者进行“一站式”集体决策。
重视肿瘤全程化管理,采用以患者为中心、以时间为轴线、以数据为驱动的“全人、全周期、全团队”系统照护。把碎片化的就诊节点焊接成一条“预防—筛查—诊断—治疗—康复—随访—舒缓疗护”无缝闭环,为患者提供最大化生存、最小化毒性、最优化生活质量的治疗方案。重视肿瘤全周期生命管理,把“冰冷的医疗”变成“有温度的治愈”,让患者在放疗科不再“忍”——不用忍疼痛、忍孤独、忍尴尬、忍信息黑洞;把“被动就医”变成“被尊重、被理解、被照顾”,搭建“医患共建”的桥梁,把“我说你做”变成“我们一起决策”。。
重视健康教育,把“医生懂的”变成“患者会做的”,用患者听得懂、记得住、做得到的方式,把肿瘤防治知识转化为日常行为,让疗效从医院延伸到家庭。
六、 联系方式与就诊指南
科室位置:武威医学科学院肿瘤医院重离子中心四号楼二楼 电话:0935-6969054 。
门诊时间:武威医学科学院肿瘤医院中心院区门诊三楼319室