
甘肃省武威肿瘤医院武威重离子中心放疗一科
(肝癌、前列腺癌重离子专科 腹盆部肿瘤重离子治疗科)
科室标语:精准狙击肿瘤,温柔守护生命
一、 科室概览与定位
放疗一科是腹盆部肿瘤重离子/光子放射治疗专科,重点专注于肝癌、胆管癌、肝转移瘤、胃癌术前术后与晚期非手术胃癌、胰腺癌、肾癌、输尿管与膀胱癌、前列腺癌、结直肠癌等腹盆部肿瘤的重离子治疗及光子放射治疗。
开诊以来,接受全国各地区肝癌、前列腺癌患者。肝癌碳离子治疗周期短,治疗过程中几乎不损伤正常肝组织。前列腺癌精准碳离子治疗,在给予根治剂量的同时有效保护性功能,实现肿瘤控制与生活质量的双重保障。肿瘤疗效确切,患者治疗体验好。

二、 人才团队与学科梯队
科室现有工作人员17人,其中医师8人(主任医师1人,副主任医师1人,主治医师4人,住院医师2人),护士9人(主任护师1人,主管护师3人,护师5人),是一支知识储备丰厚,富有朝气活力的专业技术队伍。科室十分注重人才队伍建设,聘请台湾前放疗主委任益民教授为技术及学术指导,科室成员先后在美国、德国、日本的质子/重离子或光子治疗中心交流学习,并在四川省肿瘤医院、北京大学附属肿瘤医院、中山大学附属肿瘤医院、浙江省肿瘤医院进修和学术交流。夯实肿瘤放射治疗基础,学习先进技术并开拓了视野,能够为患者制定个性化、精准化的治疗方案。

科室长期聘请多位国际知名专家担任顾问,包括德国慕尼黑质子重离子中心 Jörg Hauffe教授、“世界重离子治疗先驱”辻井博彦教授、中国台湾放射治疗权威任益民教授与吴嘉明教授,长期参与临床查房、会诊与疑难病例讨论;同时聘请河南省放射治疗主委樊锐太教授、内蒙古放疗主任委员郁志龙教授、山西省放疗主任委员兰胜民教授等常态化查房,助力科室学科建设与质量提升。
科主任马有国从事放疗工作近30年,亲身经历我院放疗科发展壮大,作为访问学者在美国圣地亚哥“Scripps”质子中心及日本“NIRS”重离子治疗中心交流学习,数次到上海质子重离子中心、四川省肿瘤医院、北京大学附属肿瘤医院等全国知名的放疗中心交流学习;在肿瘤放化疗方面具有丰富的临床实践经验。

三、 诊疗范围与技术特色
科室以肝癌、前列腺癌重离子治疗为主,同时开展胰腺癌、胆管癌、结直肠癌、胃癌、肾癌、膀胱癌、肝继发恶性肿瘤等腹盆部肿瘤的重离子及光子治疗,可为患者提供专业的放射治疗与个性化肿瘤综合治疗服务。
放疗一科作为拥有30余年发展历程的特色化、专业化科室,是国内肿瘤精准放疗领域的标杆。科室构建了以重离子治疗为核心特色,融合空间分割放疗(Lattice Radiotherapy)、立体定向放射治疗(SRS)、旋转调强放射治疗(VMAT)、静态调强放射治疗(IMRT)、图像引导放疗(IGRT)、三维适形放疗(3D-CRT)、组织间插植放疗、敷贴放疗等国际前沿技术的多模态精准放疗体系,并联合手术、免疫、靶向药物等综合治疗手段。秉承“综合治疗、个体施策”理念,为患者提供规范化、全病程管理的个性化方案。自开科以来,已完成重离子治疗数百例,累计诊治各类肿瘤患者超万例,疗效显著,患者及家属满意度极高。
科室特色技术:
1、重离子放射治疗:
碳离子治疗的物理学特性:带电重离子穿过物质时,在浅层部位形成低剂量平坦区,而在射程末端时离子速度瞬间变得很低,残余能量完全释放,从而形成一个高电离密度的峰,即Bragg峰。按照肿瘤形状和部位决定重离子速度并控制强度,使重离子高剂量分布区(Bragg峰)被调整嵌合在肿瘤靶区上,可以三维扫描进行适形治疗,使肿瘤组织被最大限度杀灭,而周围正常组织很少或几乎不受到照射,从而得到有效的保护。这个特性,使得重离子可以最大程度的减少射线对周边正常组织的剂量,也就避免了放射治疗的副作用。
碳离子的放射生物学特点:与光子线相比,碳离子束具有显著的生物学优势。首先,相对生物效应高。碳离子照射造成70%的DNA分子发生两处以上的双链断裂,而且关键位点更易受到损伤,难以被修复,导致肿瘤细胞死亡。其次,碳离子杀灭肿瘤没有细胞周期依赖性。碳离子治疗不仅导致细胞周期更易阻滞于G2和M期,即使那些对低线性能量传递(linear energy transfer, LET)射线抵抗的处于平台期和S期肿瘤细胞,对碳离子也比较敏感。其疗效几乎不受肿瘤氧供的影响,可有效杀灭肿瘤细胞。碳离子这些生物学特点突破了低LET射线的放射生物学瓶颈,显示出极大的发展潜力。
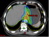
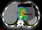
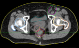
(1)、病例展示一:巨块型肝细胞肝癌合并门静脉癌栓
确诊肝癌并治疗后4月余复诊,伴有高热。腹部核磁:肝右叶异常强化灶,考虑肿瘤性病变;门静脉右支及门静脉主干管腔内见低密度影填充,考虑栓子形成。
病理诊断:肝细胞肝癌。治疗方案:碳离子放疗,总剂量:PTV:70Gy(RBE)/10Fx。同步治疗:阿替利珠单抗注射液+甲磺酸仑伐替尼胶囊。
影像学对比

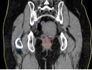
病例展示二:前列腺癌
XXX,男,64岁,主诉:间断性会阴部疼痛10月,确诊为前列腺癌7月。盆腔核磁:前列腺偏左侧异常强化占位,多考虑前列腺Ca,并左侧精囊腺受侵可能,盆腔左侧略大淋巴结。前列腺癌标志物提示:TPSA 88.67 ng/ml,FPSA 3.84 ng/ml。病检:(前列腺穿刺组织左侧)前列腺腺泡腺癌,Gleason评分4+3=7分;(前列腺穿刺组织右侧)Gleason评分3+3=6分。诊断:1、前列腺恶性肿瘤 双侧 腺泡腺癌Gleason评分4+3 =7分 cT3bN0M0 III期 KPS评分:80分。治疗方案:醋酸戈舍瑞林缓释植入剂 10.8mg 皮下注射、比卡鲁胺胶囊 50mg 口服 1次/天”全身治疗,并行前列腺癌碳离子治疗,剂量:57.6 Gy(RBE)/16 Fx。

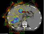
病例展示三:胰腺癌
腺癌病灶压迫并侵润十二指肠,十二指肠梗阻不能正常进食,患者留置营养管及胃肠减压管;伴胆道梗阻诱发黄疸,留置PTCD引流管。诊断:1.胰头恶性肿瘤 cT4N0M0 III期 KPS评分:80分;2.十二指肠不全梗阻;3.梗阻性黄疸,4.心律失常 室性期前收缩5. 慢性心力衰竭6.陈旧性心肌梗死7.冠状动脉粥样硬化性心脏病8. 缺血性心肌病。治疗:2024-05月开始吉西他滨+白蛋白紫杉醇化疗4周期,碳离子放疗剂量:PTV 36Gy(RBE)/9fx,后缩野补量,剂量:PTV boost 18Gy(RBE)/4fx,4.5Gy(RBE)/fx。


疗效评价



2、光子放疗技术在腹盆部肿瘤中应用;包括SABR/SBRT、VMAT、IMRT、IGRT、3D-CRT等
SABR/SBRT(立体定向消融放疗)以少分次、高剂量精准聚焦肿瘤,适用于腹盆部早期小病灶或寡转移灶,可快速摧毁肿瘤,大幅缩短治疗周期。VMAT(容积旋转调强放疗)通过机架连续旋转实现剂量动态调制,在保证靶区剂量充足的同时,高效避开肠管、膀胱等腹盆部敏感器官。IMRT(调强放疗)能依据肿瘤形状“量身定制”剂量分布,解决腹盆部肿瘤不规则、邻近高危器官的难题,降低正常组织损伤。IGRT(影像引导放疗)结合实时影像验证,精准纠正腹盆部器官因呼吸、蠕动产生的位移,确保放疗“精准打击”。3D-CRT(三维适形放疗)作为基础技术,通过多野照射使剂量分布贴合肿瘤轮廓,为复杂腹盆部肿瘤治疗提供安全基础。综上,光子放疗技术通过“精准聚焦、动态适配、实时校正”,在提升腹盆部肿瘤局部控制率的同时,显著减少胃肠道反应、泌尿毒性等并发症,为患者提供高效且安全的治疗选择。






3、开展了放疗在非手术晚期胃癌综合治疗中的介入,对患者生存期影响的临床研究。
在非手术晚期胃癌综合治疗中,放疗凭借精准控瘤与减症优势,成为核心协同手段,其应用价值主要体现在三方面:一是协同化疗增效,通过放疗对局部肿瘤的剂量叠加,可增强化疗药物敏感性,显著提升原发灶及区域淋巴结控制率,延缓肿瘤进展。二是精准缓解症状,针对晚期胃癌常见的出血、梗阻、疼痛等症状,放疗能快速缩小肿瘤病灶,解除消化道梗阻、控制肿瘤出血,有效改善患者生活质量。三是降低转移风险,对潜在微小转移灶或寡转移灶行预防性放疗,可减少局部复发及远处转移概率,为患者争取更长生存周期。综上,放疗在非手术晚期胃癌治疗中,既是“控瘤利器”也是“减症关键”,通过与化疗等手段的有机结合,为晚期患者实现“延长生存、改善生活质量”的治疗目标提供重要支撑。



4、开展重离子/光子放疗在非手术膀胱癌保膀胱功能的临床研究
在非手术膀胱癌保膀胱功能治疗中,局部放疗是实现“控瘤”与“保功能”平衡的核心手段,其应用价值凸显于三方面:一是精准保膀胱,通过聚焦照射肿瘤病灶,在有效杀灭局部癌细胞的同时,避免膀胱全切术对泌尿功能的破坏,完整保留患者正常排尿功能与生活质量。二是协同增效减毒,与化疗、免疫治疗联合应用时,可增强肿瘤细胞杀伤效应,提升局部控制率,同时通过精准剂量调控,降低膀胱黏膜损伤、肠道反应等并发症风险。三是适配广泛场景,对高龄、基础疾病多无法耐受手术,或拒绝膀胱全切的患者,局部放疗可作为安全有效的替代方案,兼顾治疗有效性与患者耐受性。综上,局部放疗为非手术膀胱癌患者提供了“控瘤+保功能”的优选路径,在保障治疗效果的同时,极大提升患者生存质量,是膀胱癌保膀胱治疗体系的重要支柱。



5、开展重离子/光子放疗在低位直肠癌保肛门功能的临床研究
在低位直肠癌保肛门功能治疗中,放疗是突破手术局限、平衡“控瘤”与“保肛”的关键手段,其应用价值集中体现在三方面:一是助力保肛手术实施,术前放疗可显著缩小肿瘤体积、降低肿瘤分期,使原本无法保肛的低位病灶获得保肛手术机会,避免肛门全切及造瘘对生活质量的影响。二是降低局部复发风险,通过精准照射肿瘤及区域淋巴结,清除手术难以彻底切除的微小病灶,大幅提升保肛术后局部控制率,巩固治疗效果。三是适配多元治疗场景,对高龄、体弱无法耐受手术,或拒绝造瘘的患者,放疗可联合化疗实现非手术根治性治疗,在保留肛门功能的同时控制肿瘤进展。综上,放疗为低位直肠癌患者搭建了“控瘤安全、保肛可行”的治疗桥梁,既是保肛手术的重要辅助,也是非手术治疗的核心选择,为提升患者生存质量与治疗效果提供关键支撑。



6、开展空间分割放疗在腹盆部肿瘤中临床实践、探索与研究
空间分割放疗作为精准放疗新技术,在腹盆部肿瘤治疗中展现独特优势,其应用价值聚焦于三方面:一是适配腹盆部解剖特性,通过多野非共面照射或网格状剂量分布,精准避开肠管、膀胱、脊髓等密集敏感器官,解决腹盆部肿瘤“靶区邻近高危结构”的治疗难题。二是提升剂量沉积效率,利用空间剂量分割特点,在肿瘤区域形成高剂量聚焦,同时降低周围正常组织受量,实现“肿瘤高剂量杀伤、正常组织低损伤”的治疗目标。三是优化复杂病灶治疗,针对腹盆部体积较大、形态不规则或伴多发转移的肿瘤,可通过灵活的空间剂量调制,兼顾不同病灶的治疗需求,提升整体治疗安全性与有效性。综上,空间分割放疗通过创新剂量分布模式,为腹盆部肿瘤治疗提供了更精准的技术选择,有效平衡疗效与安全性,成为腹盆部复杂肿瘤放疗的重要发展方向。



7、布拉格治疗在多线治疗失败的腹盆部晚期肿瘤中临床实践、探索及研究
布拉格治疗作为精准放疗技术,为多线治疗失败的腹盆部晚期肿瘤提供了重要治疗选择,其应用价值体现在三方面:一是突破治疗瓶颈,针对化疗、常规放疗等多线治疗耐药或进展的腹盆部晚期肿瘤,通过精准剂量聚焦,实现对耐药病灶的有效杀伤,打破治疗僵局。二是兼顾疗效与安全,依托精准定位与剂量调控,在对肿瘤施加高剂量的同时,避开腹盆部肠管、膀胱等敏感器官,降低多线治疗后患者的并发症风险,提升耐受性。三是缓解症状、延长生存,可快速缩小肿瘤、控制出血、疼痛等晚期症状,并调动机体自身抗肿瘤免疫,从而改善患者生活质量,同时延缓肿瘤进展,为多线治疗失败患者争取更长生存周期。综上,布拉格治疗为多线治疗失败的腹盆部晚期肿瘤患者提供了“精准控瘤、安全减症、调动自身免疫抗瘤”的解决方案,是晚期肿瘤挽救性治疗的重要技术支撑。




8、开展三维后装在直肠癌放疗、组织间插值在腹盆部肿瘤中应用与探索
三维后装与组织间插值技术,凭借近距离精准施源优势,为直肠癌及腹盆部肿瘤治疗提供重要补充,其应用价值分述如下:三维后装在直肠癌中,通过腔内或管腔内精准布源,可针对肿瘤局部施加高剂量,尤其适用于术后吻合口复发、晚期肿瘤局部残存等场景,在保护周围肠管、膀胱的同时,强化局部控制,助力保肛功能维护。组织间插值在腹盆部肿瘤中,通过将放射源直接插入肿瘤组织内部,实现剂量高度聚焦,有效解决腹盆部体积小、邻近敏感器官的复杂病灶(如宫颈癌、前列腺癌局部进展灶)治疗难题,大幅提升肿瘤剂量覆盖率,降低正常组织损伤。综上,二者通过“近距离精准施源”,分别为直肠癌局部治疗及腹盆部复杂病灶治疗提供个性化方案,是腹盆部肿瘤精准放疗体系的重要组成部分。





四、 硬件设施
设备配置方面,科室引进多台国际先进的大型医疗仪器,包括:GE Discovery MI 大型迭代PET-CT、Siemens MAGNETOM Skyra 3.0T 超导磁共振模拟定位系统、Siemens Somatom Confidence 64排模拟定位CT、Varian VitalBeam 直线加速器、Varian Clinac iX 直线加速器、Elekta Infinity 四维影像引导直线加速器等。些设备共同构建起一套完整的高精度放疗平台,为临床治疗提供了坚实基础。
五、 服务理念与患者关怀
由马有国医师带领的的医疗团队,以“精准狙击肿瘤,温柔守护生命”为核心理念,融合重离子“无创爆破”与光子“精准塑形”技术优势,直击腹盆部复杂肿瘤。从智能剂量优化到心理疗愈师全程陪伴,打造“治疗-康复-心里支持”闭环。在这里,尖端放疗技术与人文关怀同频共振,让抗癌之路不再孤单。

六、 联系方式与就诊指南
放疗一科住院部地址:武威医学科学院肿瘤医院重离子院区四号楼一楼
电话:0935-6969631
马有国副院长:13639359095(微信同号)