甘肃省武威肿瘤医院兰州重离子中心放疗五科
(腹盆部肿瘤重离子治疗科)
一、 科室概览与定位
甘肃省武威肿瘤医院兰州重离子中心放疗五科作为腹盆组肿瘤放射治疗专科,配备有先进的放疗设备与专业的医护团队。依托武威重离子中心总院的多学科优势,加之兰州重离子中心特聘的国内外知名专家的指导,专注于腹盆部肿瘤放射治疗,构建了从精准定位到个性化治疗的全链条综合治疗体系。科室积极开展腹盆部肿瘤放疗相关基础与临床研究,承担多项科研课题。科室旨在以患者为中心,以先进技术为支撑,致力于提高腹盆部肿瘤患者的治愈率和生活质量,为患者提供优质、高效、人性化的医疗服务。
二、 人才团队与学科梯队
科室现有医护人员12人,其中医师6人(主任医师2人,住院医师4人),护士7人(主管护师2人,护士5人)。医护团队均经过系统肿瘤专科培训,具备丰富的专业知识,高度的责任心,可以为患者提供科学合理的治疗方案和专业化、人性化的精准服务。
特聘北京大学第三医院放疗科主任王俊杰教授、郑州大学第一附属医院樊锐太教授为我科客座教授,齐齐哈尔市第一医院马常英教授为学术指导,同时在著名台湾物理师吴嘉明教授常年指导下开展临床及科研教学。曾完成获得市级科研3三项,获得优秀奖1项,发表核心期刊学术论文40余篇,SCI论文5篇。
科主任乔红梅主任医师从事放化疗工作20余年,先后赴西安交通大学附属医院、北京大学第三医院、陕西省肿瘤医院等国内知名肿瘤医院进修学习,在肿瘤常规的调强放疗、立体定向放疗、肿瘤后装插值放疗等方面有较深的造诣,并且在肿瘤碳离子放疗联合化疗、靶向、免疫治疗等方面有丰富的临床经验。目前开展碳离子治疗相关临床研究2项。

乔红梅 主任医师
三、 诊疗范围与技术特色
科室开展以胆管癌重离子放疗为主的腹盆腔肿瘤的全面诊治,积极开展胰腺癌、肝癌、胆囊癌、肾癌、前列腺癌、膀胱癌、输尿管癌、腹盆腔肉瘤等肿瘤的重离子及光子放疗技术,可为患者提供专业的放射治疗与个性化肿瘤综合治疗服务。
放疗五科聚焦国际前沿治疗手段,依托兰州重离子中心治疗平台,构建了以重离子治疗为特色、多模态精准放疗技术协同发展的综合技术体系,为难治性腹盆腔肿瘤及复杂病例提供个性化、高效能的解决方案。科室全面开展多项放射治疗技术,包括重离子放疗、空间分割放疗(Lattice Radiotherapy)、立体定向放射外科(SRS)和立体定向体部放疗(SABR/SBRT)、旋转调强放疗(VMAT)与静态调强放疗(IMRT)、图像引导放疗(IGRT)、三维后装放疗、深部热疗及肿瘤活检技术。自开科以来,科室已完成国内外多例患者重离子治疗,其中年龄最大85岁,总体治疗副反应轻,临床效果良好,得到患者与家属的广泛认可。


科室特色技术:重离子放射治疗
重离子治疗凭借独特的物理学与生物学特性,能精准击破肿瘤细胞DNA双链,对胰腺癌、胆管癌、肉瘤等传统放疗难治肿瘤,有更好的杀伤效果。治疗中既显著提升肿瘤控制率,又能最大程度规避血管、内脏等正常组织的放射性损伤,大幅减少放疗副作用;更以治疗周期短,改善患者预后,为难治性肿瘤患者带来新希望。
病例展示一:胰头恶性肿瘤
胰头部恶性肿瘤(33×25mm)导致肝内外胆管和胰管异常扩张,胰周增大淋巴结,转移不除外。病理示:中-低分化导管腺癌。cT4N1M0 III期。治疗方案:碳离子放疗。总剂量: PTV 60.2Gy(RBE)/14fx。 同步化疗联合靶向治疗:替吉奥50mg bid d1-d14 q3w,尼妥珠单抗400mg q1w,短期疗效达部分缓解。
影像学对比

(治疗前)2025-04-03 (治疗后1月)2025-06-06
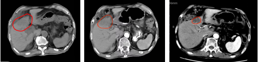
病例展示二:胆管恶性肿瘤
肝内胆管癌,肝S4段占位(47mm x35mm x37mm),病灶累及胆囊及肝门部胆管、左肝管扩张。病理诊断(病理号:829802):中分化腺癌。cT4N1M0 IIIB期。治疗方案:碳离子放疗,总剂量:PTV 68.4Gy(RBE)/18Fx,同步靶向治疗:芦康沙妥珠单抗 200mg q3w,长期疗效达持续缓解。

(治疗前)2025-04-23 (治疗2周)2025-5-7 (治疗后4月)2025-09-26
病例展示三:恶性黑色素瘤
左侧手指恶性黑色素瘤,左侧前臂、上臂、腋窝及双肺转移,cT4N0M1b IV期,KPS评分:90分,左侧腋窝巨大转移病灶出血危及生命,治疗方案:左侧腋窝局部碳离子姑息放疗,总剂量:PTV 72Gy(RBE)/16Fx,短期疗效显著,改善了患者生活质量,赢得了进一步治疗机会。

(治疗前)2025-04-26 (治疗2次后)2025-05-01

(治疗5次后)2025-05-08 (治疗结束后1月余)2025-07-01
四、 硬件设施
科室引进多台国际先进的大型医疗仪器,包括:GE Discovery MI 大型迭代PET-CT、Siemens MAGNETOM Skyra 3.0T 超导磁共振模拟定位系统、Siemens Somatom Confidence 64排模拟定位CT、Varian VitalBeam 直线加速器、Varian Clinac iX 直线加速器、Elekta Infinity 四维影像引导直线加速器等。这些设备共同构建起一套完整的高精度放疗平台,为临床治疗提供了坚实基础。
五、 服务理念与患者关怀
由乔红梅主任医师领衔的医疗团队,将依托以重离子治疗为核心、手术/免疫/化疗为补充的综合诊疗体系,结合尖端重离子放疗技术与化疗、靶向、免疫治疗,再根据患者年龄、肿瘤类型、身体状态等个体差异,制定“一人一策”的精准方案,为每位患者提供精准、高效、个体化的医疗服务。
六、 联系方式与就诊指南
地 址:甘肃省武威肿瘤医院兰州重离子中心住院综合楼8楼
电 话:0931-2169515 乔红梅主任:13379389622(微信同号)